Digital Database for Screening Mammography

Volume: benign_without_callback_01 Case: B-3175-1


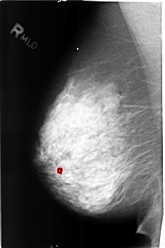
B_3175_1.RIGHT_MLO

B_3175_1.LEFT_MLO

B_3175_1.RIGHT_CC

B_3175_1.LEFT_CC

ics_version 1.0
filename B-3175-1
DATE_OF_STUDY 5 6 1998
PATIENT_AGE 55
FILM
FILM_TYPE REGULAR
DENSITY 4
DATE_DIGITIZED 14 7 1998
DIGITIZER LUMISYS LASER
SEQUENCE
LEFT_CC LINES 4616 PIXELS_PER_LINE 3048 BITS_PER_PIXEL 12 RESOLUTION 50 NON_OVERLAY
LEFT_MLO LINES 4544 PIXELS_PER_LINE 3040 BITS_PER_PIXEL 12 RESOLUTION 50 NON_OVERLAY
RIGHT_CC LINES 4592 PIXELS_PER_LINE 3040 BITS_PER_PIXEL 12 RESOLUTION 50 OVERLAY
RIGHT_MLO LINES 4568 PIXELS_PER_LINE 3032 BITS_PER_PIXEL 12 RESOLUTION 50 OVERLAY

FILE: B_3175_1.RIGHT_MLO.OVERLAY

TOTAL_ABNORMALITIES 1
ABNORMALITY 1
LESION_TYPE CALCIFICATION TYPE LUCENT_CENTER DISTRIBUTION N/A
ASSESSMENT 2
SUBTLETY 3
PATHOLOGY BENIGN_WITHOUT_CALLBACK
TOTAL_OUTLINES 1 
BOUNDARY
FILE: B_3175_1.RIGHT_CC.OVERLAY

TOTAL_ABNORMALITIES 1
ABNORMALITY 1
LESION_TYPE CALCIFICATION TYPE LUCENT_CENTER DISTRIBUTION N/A
ASSESSMENT 2
SUBTLETY 3
PATHOLOGY BENIGN_WITHOUT_CALLBACK
TOTAL_OUTLINES 1 
BOUNDARY