Digital Database for Screening Mammography

Volume: benign_without_callback_01 Case: B-3242-1


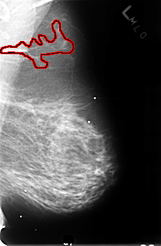
B_3242_1.RIGHT_MLO

B_3242_1.LEFT_MLO

B_3242_1.RIGHT_CC

B_3242_1.LEFT_CC

ics_version 1.0
filename B-3242-1
DATE_OF_STUDY 14 8 1998
PATIENT_AGE 53
FILM
FILM_TYPE REGULAR
DENSITY 3
DATE_DIGITIZED 6 10 1998
DIGITIZER LUMISYS LASER
SEQUENCE
LEFT_CC LINES 4544 PIXELS_PER_LINE 3104 BITS_PER_PIXEL 12 RESOLUTION 50 NON_OVERLAY
LEFT_MLO LINES 4600 PIXELS_PER_LINE 3016 BITS_PER_PIXEL 12 RESOLUTION 50 OVERLAY
RIGHT_CC LINES 4392 PIXELS_PER_LINE 3104 BITS_PER_PIXEL 12 RESOLUTION 50 OVERLAY
RIGHT_MLO LINES 4488 PIXELS_PER_LINE 3080 BITS_PER_PIXEL 12 RESOLUTION 50 OVERLAY

FILE: B_3242_1.LEFT_MLO.OVERLAY

TOTAL_ABNORMALITIES 1
ABNORMALITY 1
LESION_TYPE MASS SHAPE ASYMMETRIC_BREAST_TISSUE MARGINS N/A
ASSESSMENT 2
SUBTLETY 5
PATHOLOGY BENIGN_WITHOUT_CALLBACK
TOTAL_OUTLINES 1 
BOUNDARY
FILE: B_3242_1.RIGHT_MLO.OVERLAY

TOTAL_ABNORMALITIES 1
ABNORMALITY 1
LESION_TYPE CALCIFICATION TYPE ROUND_AND_REGULAR DISTRIBUTION N/A
ASSESSMENT 2
SUBTLETY 4
PATHOLOGY BENIGN_WITHOUT_CALLBACK
TOTAL_OUTLINES 1 
BOUNDARY
FILE: B_3242_1.RIGHT_CC.OVERLAY

TOTAL_ABNORMALITIES 1
ABNORMALITY 1
LESION_TYPE CALCIFICATION TYPE ROUND_AND_REGULAR DISTRIBUTION N/A
ASSESSMENT 2
SUBTLETY 4
PATHOLOGY BENIGN_WITHOUT_CALLBACK
TOTAL_OUTLINES 1 
BOUNDARY