Digital Database for Screening Mammography

Volume: benign_without_callback_01 Case: B-3251-1


B_3251_1.RIGHT_MLO

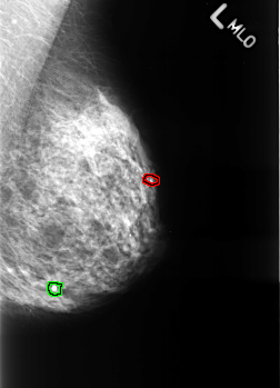
B_3251_1.LEFT_MLO

B_3251_1.RIGHT_CC

B_3251_1.LEFT_CC

ics_version 1.0
filename B-3251-1
DATE_OF_STUDY 10 8 1998
PATIENT_AGE 52
FILM
FILM_TYPE REGULAR
DENSITY 3
DATE_DIGITIZED 26 8 1998
DIGITIZER LUMISYS LASER
SEQUENCE
LEFT_CC LINES 4464 PIXELS_PER_LINE 3056 BITS_PER_PIXEL 12 RESOLUTION 50 OVERLAY
LEFT_MLO LINES 4184 PIXELS_PER_LINE 3024 BITS_PER_PIXEL 12 RESOLUTION 50 OVERLAY
RIGHT_CC LINES 4416 PIXELS_PER_LINE 3016 BITS_PER_PIXEL 12 RESOLUTION 50 OVERLAY
RIGHT_MLO LINES 4240 PIXELS_PER_LINE 3024 BITS_PER_PIXEL 12 RESOLUTION 50 OVERLAY

FILE: B_3251_1.LEFT_MLO.OVERLAY

TOTAL_ABNORMALITIES 2
ABNORMALITY 1
LESION_TYPE CALCIFICATION TYPE LUCENT_CENTER-PUNCTATE DISTRIBUTION N/A
ASSESSMENT 2
SUBTLETY 5
PATHOLOGY BENIGN_WITHOUT_CALLBACK
TOTAL_OUTLINES 1 
BOUNDARY
ABNORMALITY 2
LESION_TYPE CALCIFICATION TYPE LUCENT_CENTER-PUNCTATE DISTRIBUTION N/A
ASSESSMENT 2
SUBTLETY 5
PATHOLOGY BENIGN_WITHOUT_CALLBACK
TOTAL_OUTLINES 1 
BOUNDARY
FILE: B_3251_1.RIGHT_MLO.OVERLAY

TOTAL_ABNORMALITIES 3
ABNORMALITY 1
LESION_TYPE CALCIFICATION TYPE PUNCTATE DISTRIBUTION REGIONAL
ASSESSMENT 2
SUBTLETY 5
PATHOLOGY BENIGN_WITHOUT_CALLBACK
TOTAL_OUTLINES 1 
BOUNDARY
ABNORMALITY 2
LESION_TYPE CALCIFICATION TYPE PUNCTATE DISTRIBUTION REGIONAL
ASSESSMENT 2
SUBTLETY 5
PATHOLOGY BENIGN_WITHOUT_CALLBACK
TOTAL_OUTLINES 1 
BOUNDARY
ABNORMALITY 3
LESION_TYPE CALCIFICATION TYPE PUNCTATE DISTRIBUTION REGIONAL
ASSESSMENT 2
SUBTLETY 5
PATHOLOGY BENIGN_WITHOUT_CALLBACK
TOTAL_OUTLINES 1 
BOUNDARY
FILE: B_3251_1.LEFT_CC.OVERLAY

TOTAL_ABNORMALITIES 2
ABNORMALITY 1
LESION_TYPE CALCIFICATION TYPE LUCENT_CENTER-PUNCTATE DISTRIBUTION N/A
ASSESSMENT 2
SUBTLETY 5
PATHOLOGY BENIGN_WITHOUT_CALLBACK
TOTAL_OUTLINES 1 
BOUNDARY
ABNORMALITY 2
LESION_TYPE CALCIFICATION TYPE LUCENT_CENTER-PUNCTATE DISTRIBUTION N/A
ASSESSMENT 2
SUBTLETY 5
PATHOLOGY BENIGN_WITHOUT_CALLBACK
TOTAL_OUTLINES 1 
BOUNDARY
FILE: B_3251_1.RIGHT_CC.OVERLAY

TOTAL_ABNORMALITIES 1
ABNORMALITY 1
LESION_TYPE CALCIFICATION TYPE PUNCTATE DISTRIBUTION REGIONAL
ASSESSMENT 2
SUBTLETY 5
PATHOLOGY BENIGN_WITHOUT_CALLBACK
TOTAL_OUTLINES 1 
BOUNDARY