Digital Database for Screening Mammography

Volume: benign_without_callback_02 Case: C-0425-1


C_0425_1.RIGHT_MLO

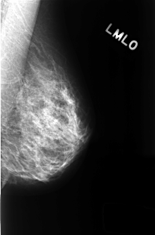
C_0425_1.LEFT_MLO

C_0425_1.RIGHT_CC

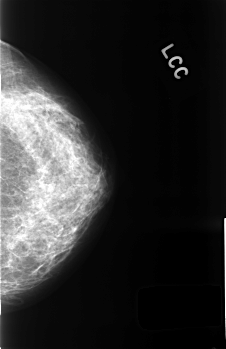
C_0425_1.LEFT_CC

ics_version 1.0
filename C-0425-1
DATE_OF_STUDY 9 6 1995
PATIENT_AGE 39
FILM
FILM_TYPE REGULAR
DENSITY 2
DATE_DIGITIZED 16 11 1998
DIGITIZER LUMISYS LASER
SEQUENCE
LEFT_CC LINES 4536 PIXELS_PER_LINE 2928 BITS_PER_PIXEL 12 RESOLUTION 50 NON_OVERLAY
LEFT_MLO LINES 4432 PIXELS_PER_LINE 2920 BITS_PER_PIXEL 12 RESOLUTION 50 NON_OVERLAY
RIGHT_CC LINES 4552 PIXELS_PER_LINE 2928 BITS_PER_PIXEL 12 RESOLUTION 50 NON_OVERLAY
RIGHT_MLO LINES 4592 PIXELS_PER_LINE 2920 BITS_PER_PIXEL 12 RESOLUTION 50 OVERLAY

FILE: C_0425_1.RIGHT_MLO.OVERLAY

TOTAL_ABNORMALITIES 1
ABNORMALITY 1
LESION_TYPE MASS SHAPE LOBULATED MARGINS CIRCUMSCRIBED
ASSESSMENT 3
SUBTLETY 4
PATHOLOGY BENIGN_WITHOUT_CALLBACK
TOTAL_OUTLINES 1 
BOUNDARY