Digital Database for Screening Mammography

Volume: benign_without_callback_02 Case: C-0430-1


C_0430_1.RIGHT_MLO

C_0430_1.LEFT_MLO

C_0430_1.RIGHT_CC

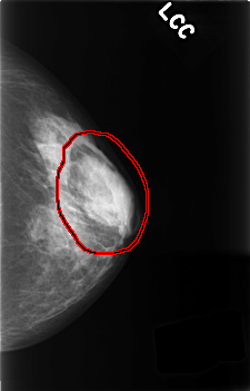
C_0430_1.LEFT_CC

ics_version 1.0
filename C-0430-1
DATE_OF_STUDY 22 11 1995
PATIENT_AGE 30
FILM
FILM_TYPE REGULAR
DENSITY 3
DATE_DIGITIZED 17 11 1998
DIGITIZER LUMISYS LASER
SEQUENCE
LEFT_CC LINES 4560 PIXELS_PER_LINE 2920 BITS_PER_PIXEL 12 RESOLUTION 50 OVERLAY
LEFT_MLO LINES 4560 PIXELS_PER_LINE 2896 BITS_PER_PIXEL 12 RESOLUTION 50 OVERLAY
RIGHT_CC LINES 4600 PIXELS_PER_LINE 2936 BITS_PER_PIXEL 12 RESOLUTION 50 OVERLAY
RIGHT_MLO LINES 4560 PIXELS_PER_LINE 2896 BITS_PER_PIXEL 12 RESOLUTION 50 OVERLAY

FILE: C_0430_1.LEFT_MLO.OVERLAY

TOTAL_ABNORMALITIES 1
ABNORMALITY 1
LESION_TYPE MASS SHAPE OVAL MARGINS OBSCURED
ASSESSMENT 3
SUBTLETY 4
PATHOLOGY BENIGN_WITHOUT_CALLBACK
TOTAL_OUTLINES 1 
BOUNDARY
FILE: C_0430_1.RIGHT_MLO.OVERLAY

TOTAL_ABNORMALITIES 1
ABNORMALITY 1
LESION_TYPE MASS SHAPE ASYMMETRIC_BREAST_TISSUE MARGINS ILL_DEFINED
ASSESSMENT 3
SUBTLETY 4
PATHOLOGY BENIGN_WITHOUT_CALLBACK
TOTAL_OUTLINES 1 
BOUNDARY
FILE: C_0430_1.LEFT_CC.OVERLAY

TOTAL_ABNORMALITIES 1
ABNORMALITY 1
LESION_TYPE MASS SHAPE OVAL MARGINS MICROLOBULATED
ASSESSMENT 3
SUBTLETY 5
PATHOLOGY BENIGN_WITHOUT_CALLBACK
TOTAL_OUTLINES 1 
BOUNDARY
FILE: C_0430_1.RIGHT_CC.OVERLAY

TOTAL_ABNORMALITIES 1
ABNORMALITY 1
LESION_TYPE MASS SHAPE OVAL MARGINS MICROLOBULATED
ASSESSMENT 3
SUBTLETY 5
PATHOLOGY BENIGN_WITHOUT_CALLBACK
TOTAL_OUTLINES 1 
BOUNDARY