Digital Database for Screening Mammography

Volume: benign_without_callback_02 Case: C-0449-1


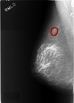
C_0449_1.RIGHT_MLO

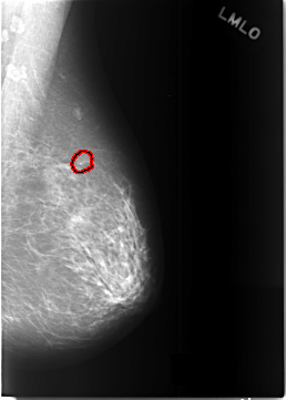
C_0449_1.LEFT_MLO

C_0449_1.RIGHT_CC

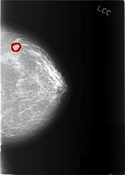
C_0449_1.LEFT_CC

ics_version 1.0
filename C-0449-1
DATE_OF_STUDY 19 5 1995
PATIENT_AGE 59
FILM
FILM_TYPE REGULAR
DENSITY 2
DATE_DIGITIZED 21 12 1998
DIGITIZER LUMISYS LASER
SEQUENCE
LEFT_CC LINES 5776 PIXELS_PER_LINE 4104 BITS_PER_PIXEL 12 RESOLUTION 50 OVERLAY
LEFT_MLO LINES 5768 PIXELS_PER_LINE 4120 BITS_PER_PIXEL 12 RESOLUTION 50 OVERLAY
RIGHT_CC LINES 5728 PIXELS_PER_LINE 4048 BITS_PER_PIXEL 12 RESOLUTION 50 NON_OVERLAY
RIGHT_MLO LINES 5744 PIXELS_PER_LINE 4128 BITS_PER_PIXEL 12 RESOLUTION 50 OVERLAY

FILE: C_0449_1.LEFT_MLO.OVERLAY

TOTAL_ABNORMALITIES 1
ABNORMALITY 1
LESION_TYPE CALCIFICATION TYPE DYSTROPHIC DISTRIBUTION CLUSTERED
ASSESSMENT 4
SUBTLETY 5
PATHOLOGY BENIGN_WITHOUT_CALLBACK
TOTAL_OUTLINES 1 
BOUNDARY
FILE: C_0449_1.RIGHT_MLO.OVERLAY

TOTAL_ABNORMALITIES 1
ABNORMALITY 1
LESION_TYPE MASS SHAPE ROUND MARGINS CIRCUMSCRIBED
ASSESSMENT 3
SUBTLETY 3
PATHOLOGY BENIGN_WITHOUT_CALLBACK
TOTAL_OUTLINES 1 
BOUNDARY
FILE: C_0449_1.LEFT_CC.OVERLAY

TOTAL_ABNORMALITIES 1
ABNORMALITY 1
LESION_TYPE CALCIFICATION TYPE DYSTROPHIC DISTRIBUTION CLUSTERED
ASSESSMENT 4
SUBTLETY 5
PATHOLOGY BENIGN_WITHOUT_CALLBACK
TOTAL_OUTLINES 1 
BOUNDARY