Digital Database for Screening Mammography

Volume: benign_01 Case: C-0029-1


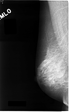
C_0029_1.RIGHT_MLO

C_0029_1.LEFT_MLO

C_0029_1.RIGHT_CC

C_0029_1.LEFT_CC

ics_version 1.0
filename C-0029-1
DATE_OF_STUDY 2 3 1993
PATIENT_AGE 66
FILM
FILM_TYPE REGULAR
DENSITY 3
DATE_DIGITIZED 9 10 1997
DIGITIZER LUMISYS LASER
SEQUENCE
LEFT_CC LINES 4648 PIXELS_PER_LINE 2672 BITS_PER_PIXEL 12 RESOLUTION 50 OVERLAY
LEFT_MLO LINES 4680 PIXELS_PER_LINE 2664 BITS_PER_PIXEL 12 RESOLUTION 50 OVERLAY
RIGHT_CC LINES 4704 PIXELS_PER_LINE 2816 BITS_PER_PIXEL 12 RESOLUTION 50 NON_OVERLAY
RIGHT_MLO LINES 4648 PIXELS_PER_LINE 2864 BITS_PER_PIXEL 12 RESOLUTION 50 NON_OVERLAY

FILE: C_0029_1.LEFT_MLO.OVERLAY

TOTAL_ABNORMALITIES 1
ABNORMALITY 1
LESION_TYPE MASS SHAPE OVAL MARGINS ILL_DEFINED
ASSESSMENT 3
SUBTLETY 4
PATHOLOGY BENIGN
TOTAL_OUTLINES 1 
BOUNDARY
FILE: C_0029_1.LEFT_CC.OVERLAY

TOTAL_ABNORMALITIES 1
ABNORMALITY 1
LESION_TYPE MASS SHAPE OVAL MARGINS ILL_DEFINED
ASSESSMENT 3
SUBTLETY 3
PATHOLOGY BENIGN
TOTAL_OUTLINES 1 
BOUNDARY