![]() |
![]() |
![]() |
![]() |
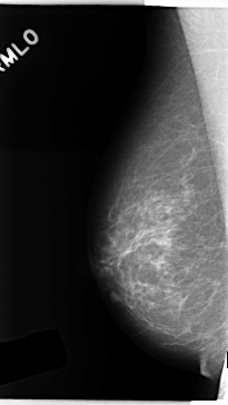
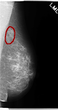
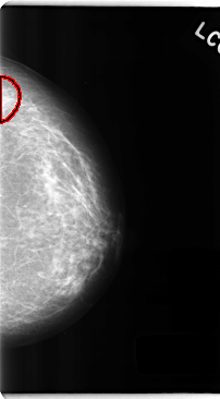
ics_version 1.0 filename C-0241-1 DATE_OF_STUDY 22 2 1995 PATIENT_AGE 63 FILM FILM_TYPE REGULAR DENSITY 2 DATE_DIGITIZED 28 4 1998 DIGITIZER LUMISYS LASER SEQUENCE LEFT_CC LINES 4752 PIXELS_PER_LINE 2624 BITS_PER_PIXEL 12 RESOLUTION 50 OVERLAY LEFT_MLO LINES 4744 PIXELS_PER_LINE 2512 BITS_PER_PIXEL 12 RESOLUTION 50 OVERLAY RIGHT_CC LINES 4712 PIXELS_PER_LINE 2656 BITS_PER_PIXEL 12 RESOLUTION 50 NON_OVERLAY RIGHT_MLO LINES 4728 PIXELS_PER_LINE 2656 BITS_PER_PIXEL 12 RESOLUTION 50 NON_OVERLAY |
FILE: C_0241_1.LEFT_MLO.OVERLAY TOTAL_ABNORMALITIES 1 ABNORMALITY 1 LESION_TYPE MASS SHAPE IRREGULAR MARGINS ILL_DEFINED ASSESSMENT 4 SUBTLETY 5 PATHOLOGY BENIGN TOTAL_OUTLINES 1 BOUNDARY |
FILE: C_0241_1.LEFT_CC.OVERLAY TOTAL_ABNORMALITIES 1 ABNORMALITY 1 LESION_TYPE MASS SHAPE IRREGULAR MARGINS ILL_DEFINED ASSESSMENT 4 SUBTLETY 3 PATHOLOGY BENIGN TOTAL_OUTLINES 1 BOUNDARY |