Digital Database for Screening Mammography

Volume: benign_01 Case: C-0245-1


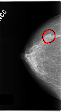
C_0245_1.RIGHT_MLO

C_0245_1.LEFT_MLO

C_0245_1.RIGHT_CC

C_0245_1.LEFT_CC

ics_version 1.0
filename C-0245-1
DATE_OF_STUDY 28 3 1995
PATIENT_AGE 56
FILM
FILM_TYPE REGULAR
DENSITY 2
DATE_DIGITIZED 30 4 1998
DIGITIZER LUMISYS LASER
SEQUENCE
LEFT_CC LINES 4760 PIXELS_PER_LINE 2312 BITS_PER_PIXEL 12 RESOLUTION 50 NON_OVERLAY
LEFT_MLO LINES 4776 PIXELS_PER_LINE 2520 BITS_PER_PIXEL 12 RESOLUTION 50 NON_OVERLAY
RIGHT_CC LINES 4720 PIXELS_PER_LINE 2584 BITS_PER_PIXEL 12 RESOLUTION 50 OVERLAY
RIGHT_MLO LINES 4664 PIXELS_PER_LINE 2544 BITS_PER_PIXEL 12 RESOLUTION 50 OVERLAY

FILE: C_0245_1.RIGHT_MLO.OVERLAY

TOTAL_ABNORMALITIES 1
ABNORMALITY 1
LESION_TYPE MASS SHAPE OVAL MARGINS CIRCUMSCRIBED
ASSESSMENT 4
SUBTLETY 5
PATHOLOGY BENIGN
TOTAL_OUTLINES 1 
BOUNDARY
FILE: C_0245_1.RIGHT_CC.OVERLAY

TOTAL_ABNORMALITIES 1
ABNORMALITY 1
LESION_TYPE MASS SHAPE OVAL MARGINS CIRCUMSCRIBED
ASSESSMENT 4
SUBTLETY 5
PATHOLOGY BENIGN
TOTAL_OUTLINES 1 
BOUNDARY