Digital Database for Screening Mammography

Volume: benign_01 Case: C-0248-1


C_0248_1.RIGHT_MLO

C_0248_1.LEFT_MLO

C_0248_1.RIGHT_CC

C_0248_1.LEFT_CC

ics_version 1.0
filename C-0248-1
DATE_OF_STUDY 5 5 1995
PATIENT_AGE 46
FILM
FILM_TYPE REGULAR
DENSITY 2
DATE_DIGITIZED 30 4 1998
DIGITIZER LUMISYS LASER
SEQUENCE
LEFT_CC LINES 4776 PIXELS_PER_LINE 2736 BITS_PER_PIXEL 12 RESOLUTION 50 OVERLAY
LEFT_MLO LINES 4744 PIXELS_PER_LINE 2816 BITS_PER_PIXEL 12 RESOLUTION 50 OVERLAY
RIGHT_CC LINES 4720 PIXELS_PER_LINE 2688 BITS_PER_PIXEL 12 RESOLUTION 50 OVERLAY
RIGHT_MLO LINES 4768 PIXELS_PER_LINE 2808 BITS_PER_PIXEL 12 RESOLUTION 50 OVERLAY

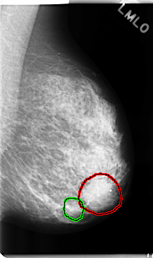
FILE: C_0248_1.LEFT_MLO.OVERLAY

TOTAL_ABNORMALITIES 2
ABNORMALITY 1
LESION_TYPE MASS SHAPE ROUND MARGINS CIRCUMSCRIBED
ASSESSMENT 4
SUBTLETY 5
PATHOLOGY BENIGN
TOTAL_OUTLINES 1 
BOUNDARY
ABNORMALITY 2
LESION_TYPE MASS SHAPE ROUND MARGINS CIRCUMSCRIBED
ASSESSMENT 4
SUBTLETY 3
PATHOLOGY BENIGN
TOTAL_OUTLINES 1 
BOUNDARY
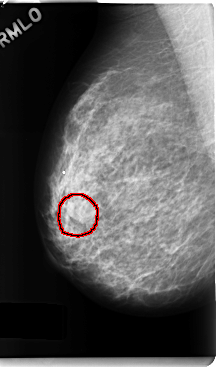
FILE: C_0248_1.RIGHT_MLO.OVERLAY

TOTAL_ABNORMALITIES 1
ABNORMALITY 1
LESION_TYPE MASS SHAPE LOBULATED MARGINS MICROLOBULATED
ASSESSMENT 4
SUBTLETY 5
PATHOLOGY BENIGN
TOTAL_OUTLINES 1 
BOUNDARY
FILE: C_0248_1.LEFT_CC.OVERLAY

TOTAL_ABNORMALITIES 2
ABNORMALITY 1
LESION_TYPE MASS SHAPE ROUND MARGINS CIRCUMSCRIBED
ASSESSMENT 4
SUBTLETY 5
PATHOLOGY BENIGN
TOTAL_OUTLINES 1 
BOUNDARY
ABNORMALITY 2
LESION_TYPE MASS SHAPE ROUND MARGINS OBSCURED
ASSESSMENT 4
SUBTLETY 3
PATHOLOGY BENIGN
TOTAL_OUTLINES 1 
BOUNDARY
FILE: C_0248_1.RIGHT_CC.OVERLAY

TOTAL_ABNORMALITIES 1
ABNORMALITY 1
LESION_TYPE MASS SHAPE OVAL MARGINS ILL_DEFINED
ASSESSMENT 4
SUBTLETY 4
PATHOLOGY BENIGN
TOTAL_OUTLINES 1 
BOUNDARY