Digital Database for Screening Mammography

Volume: benign_01 Case: B-3097-1


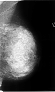
B_3097_1.RIGHT_MLO

B_3097_1.LEFT_MLO

B_3097_1.RIGHT_CC

B_3097_1.LEFT_CC

ics_version 1.0
filename B-3097-1
DATE_OF_STUDY 22 10 1996
PATIENT_AGE 57
FILM
FILM_TYPE REGULAR
DENSITY 4
DATE_DIGITIZED 5 2 1998
DIGITIZER LUMISYS LASER
SEQUENCE
LEFT_CC LINES 4680 PIXELS_PER_LINE 2240 BITS_PER_PIXEL 12 RESOLUTION 50 NON_OVERLAY
LEFT_MLO LINES 4664 PIXELS_PER_LINE 2784 BITS_PER_PIXEL 12 RESOLUTION 50 NON_OVERLAY
RIGHT_CC LINES 4632 PIXELS_PER_LINE 2600 BITS_PER_PIXEL 12 RESOLUTION 50 OVERLAY
RIGHT_MLO LINES 4720 PIXELS_PER_LINE 2720 BITS_PER_PIXEL 12 RESOLUTION 50 OVERLAY

FILE: B_3097_1.RIGHT_MLO.OVERLAY

TOTAL_ABNORMALITIES 1
ABNORMALITY 1
LESION_TYPE MASS SHAPE OVAL MARGINS CIRCUMSCRIBED-OBSCURED
ASSESSMENT 3
SUBTLETY 2
PATHOLOGY BENIGN
TOTAL_OUTLINES 1 
BOUNDARY
FILE: B_3097_1.RIGHT_CC.OVERLAY

TOTAL_ABNORMALITIES 1
ABNORMALITY 1
LESION_TYPE MASS SHAPE ROUND MARGINS CIRCUMSCRIBED-OBSCURED
ASSESSMENT 3
SUBTLETY 2
PATHOLOGY BENIGN
TOTAL_OUTLINES 1 
BOUNDARY