Digital Database for Screening Mammography

Volume: benign_01 Case: B-3099-1


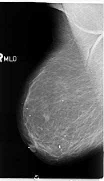
B_3099_1.RIGHT_MLO

B_3099_1.LEFT_MLO

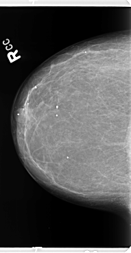
B_3099_1.RIGHT_CC

B_3099_1.LEFT_CC

ics_version 1.0
filename B-3099-1
DATE_OF_STUDY 3 9 1996
PATIENT_AGE 82
FILM
FILM_TYPE REGULAR
DENSITY 2
DATE_DIGITIZED 12 2 1998
DIGITIZER LUMISYS LASER
SEQUENCE
LEFT_CC LINES 4704 PIXELS_PER_LINE 2520 BITS_PER_PIXEL 12 RESOLUTION 50 OVERLAY
LEFT_MLO LINES 4696 PIXELS_PER_LINE 2832 BITS_PER_PIXEL 12 RESOLUTION 50 OVERLAY
RIGHT_CC LINES 4792 PIXELS_PER_LINE 2472 BITS_PER_PIXEL 12 RESOLUTION 50 NON_OVERLAY
RIGHT_MLO LINES 4704 PIXELS_PER_LINE 2696 BITS_PER_PIXEL 12 RESOLUTION 50 NON_OVERLAY

FILE: B_3099_1.LEFT_MLO.OVERLAY

TOTAL_ABNORMALITIES 1
ABNORMALITY 1
LESION_TYPE MASS SHAPE IRREGULAR MARGINS ILL_DEFINED
ASSESSMENT 4
SUBTLETY 4
PATHOLOGY BENIGN
TOTAL_OUTLINES 1 
BOUNDARY
FILE: B_3099_1.LEFT_CC.OVERLAY

TOTAL_ABNORMALITIES 1
ABNORMALITY 1
LESION_TYPE MASS SHAPE IRREGULAR MARGINS ILL_DEFINED
ASSESSMENT 3
SUBTLETY 3
PATHOLOGY BENIGN
TOTAL_OUTLINES 1 
BOUNDARY