Digital Database for Screening Mammography

Volume: benign_01 Case: B-3127-1


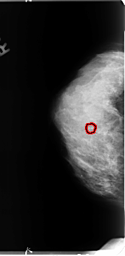
B_3127_1.RIGHT_MLO

B_3127_1.LEFT_MLO

B_3127_1.RIGHT_CC

B_3127_1.LEFT_CC

ics_version 1.0
filename B-3127-1
DATE_OF_STUDY 12 1 1995
PATIENT_AGE 50
FILM
FILM_TYPE REGULAR
DENSITY 4
DATE_DIGITIZED 13 2 1998
DIGITIZER LUMISYS LASER
SEQUENCE
LEFT_CC LINES 4744 PIXELS_PER_LINE 2296 BITS_PER_PIXEL 12 RESOLUTION 50 NON_OVERLAY
LEFT_MLO LINES 4696 PIXELS_PER_LINE 2376 BITS_PER_PIXEL 12 RESOLUTION 50 NON_OVERLAY
RIGHT_CC LINES 4720 PIXELS_PER_LINE 2304 BITS_PER_PIXEL 12 RESOLUTION 50 OVERLAY
RIGHT_MLO LINES 4664 PIXELS_PER_LINE 2456 BITS_PER_PIXEL 12 RESOLUTION 50 OVERLAY

FILE: B_3127_1.RIGHT_MLO.OVERLAY

TOTAL_ABNORMALITIES 1
ABNORMALITY 1
LESION_TYPE CALCIFICATION TYPE PLEOMORPHIC DISTRIBUTION CLUSTERED
ASSESSMENT 4
SUBTLETY 3
PATHOLOGY BENIGN
TOTAL_OUTLINES 1 
BOUNDARY
FILE: B_3127_1.RIGHT_CC.OVERLAY

TOTAL_ABNORMALITIES 1
ABNORMALITY 1
LESION_TYPE CALCIFICATION TYPE PLEOMORPHIC DISTRIBUTION CLUSTERED
ASSESSMENT 4
SUBTLETY 3
PATHOLOGY BENIGN
TOTAL_OUTLINES 1 
BOUNDARY