Digital Database for Screening Mammography

Volume: benign_01 Case: B-3130-1


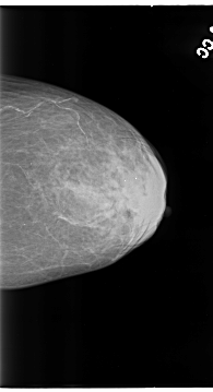
B_3130_1.RIGHT_MLO

B_3130_1.LEFT_MLO

B_3130_1.RIGHT_CC

B_3130_1.LEFT_CC

ics_version 1.0
filename B-3130-1
DATE_OF_STUDY 10 8 1995
PATIENT_AGE 86
FILM
FILM_TYPE REGULAR
DENSITY 2
DATE_DIGITIZED 13 2 1998
DIGITIZER LUMISYS LASER
SEQUENCE
LEFT_CC LINES 4664 PIXELS_PER_LINE 2528 BITS_PER_PIXEL 12 RESOLUTION 50 NON_OVERLAY
LEFT_MLO LINES 4624 PIXELS_PER_LINE 2664 BITS_PER_PIXEL 12 RESOLUTION 50 NON_OVERLAY
RIGHT_CC LINES 4592 PIXELS_PER_LINE 2640 BITS_PER_PIXEL 12 RESOLUTION 50 OVERLAY
RIGHT_MLO LINES 4632 PIXELS_PER_LINE 2640 BITS_PER_PIXEL 12 RESOLUTION 50 OVERLAY

FILE: B_3130_1.RIGHT_MLO.OVERLAY

TOTAL_ABNORMALITIES 1
ABNORMALITY 1
LESION_TYPE CALCIFICATION TYPE PLEOMORPHIC DISTRIBUTION CLUSTERED
ASSESSMENT 4
SUBTLETY 3
PATHOLOGY BENIGN
TOTAL_OUTLINES 1 
BOUNDARY
FILE: B_3130_1.RIGHT_CC.OVERLAY

TOTAL_ABNORMALITIES 1
ABNORMALITY 1
LESION_TYPE CALCIFICATION TYPE PLEOMORPHIC DISTRIBUTION CLUSTERED
ASSESSMENT 4
SUBTLETY 2
PATHOLOGY BENIGN
TOTAL_OUTLINES 1 
BOUNDARY