Digital Database for Screening Mammography

Volume: benign_01 Case: B-3133-1


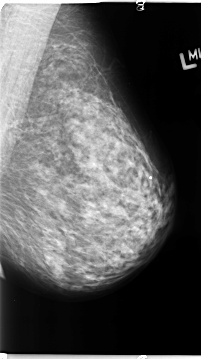
B_3133_1.RIGHT_MLO

B_3133_1.LEFT_MLO

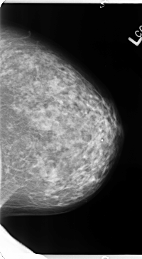
B_3133_1.RIGHT_CC

B_3133_1.LEFT_CC

ics_version 1.0
filename B-3133-1
DATE_OF_STUDY 5 5 1995
PATIENT_AGE 51
FILM
FILM_TYPE REGULAR
DENSITY 3
DATE_DIGITIZED 13 2 1998
DIGITIZER LUMISYS LASER
SEQUENCE
LEFT_CC LINES 4712 PIXELS_PER_LINE 2600 BITS_PER_PIXEL 12 RESOLUTION 50 NON_OVERLAY
LEFT_MLO LINES 4664 PIXELS_PER_LINE 2608 BITS_PER_PIXEL 12 RESOLUTION 50 NON_OVERLAY
RIGHT_CC LINES 4632 PIXELS_PER_LINE 2776 BITS_PER_PIXEL 12 RESOLUTION 50 OVERLAY
RIGHT_MLO LINES 4624 PIXELS_PER_LINE 2752 BITS_PER_PIXEL 12 RESOLUTION 50 OVERLAY

FILE: B_3133_1.RIGHT_MLO.OVERLAY

TOTAL_ABNORMALITIES 1
ABNORMALITY 1
LESION_TYPE CALCIFICATION TYPE PLEOMORPHIC DISTRIBUTION CLUSTERED
ASSESSMENT 4
SUBTLETY 2
PATHOLOGY BENIGN
TOTAL_OUTLINES 1 
BOUNDARY
FILE: B_3133_1.RIGHT_CC.OVERLAY

TOTAL_ABNORMALITIES 1
ABNORMALITY 1
LESION_TYPE CALCIFICATION TYPE PLEOMORPHIC DISTRIBUTION CLUSTERED
ASSESSMENT 4
SUBTLETY 2
PATHOLOGY BENIGN
TOTAL_OUTLINES 1 
BOUNDARY