Digital Database for Screening Mammography

Volume: benign_01 Case: B-3141-1


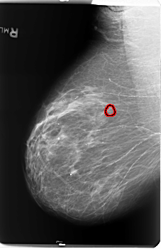
B_3141_1.RIGHT_MLO

B_3141_1.LEFT_MLO

B_3141_1.RIGHT_CC

B_3141_1.LEFT_CC

ics_version 1.0
filename B-3141-1
DATE_OF_STUDY 6 5 1997
PATIENT_AGE 63
FILM
FILM_TYPE REGULAR
DENSITY 2
DATE_DIGITIZED 21 4 1998
DIGITIZER LUMISYS LASER
SEQUENCE
LEFT_CC LINES 5912 PIXELS_PER_LINE 3584 BITS_PER_PIXEL 12 RESOLUTION 50 NON_OVERLAY
LEFT_MLO LINES 5888 PIXELS_PER_LINE 3840 BITS_PER_PIXEL 12 RESOLUTION 50 NON_OVERLAY
RIGHT_CC LINES 5880 PIXELS_PER_LINE 3472 BITS_PER_PIXEL 12 RESOLUTION 50 OVERLAY
RIGHT_MLO LINES 5936 PIXELS_PER_LINE 3848 BITS_PER_PIXEL 12 RESOLUTION 50 OVERLAY

FILE: B_3141_1.RIGHT_MLO.OVERLAY

TOTAL_ABNORMALITIES 1
ABNORMALITY 1
LESION_TYPE CALCIFICATION TYPE PLEOMORPHIC DISTRIBUTION CLUSTERED
ASSESSMENT 4
SUBTLETY 3
PATHOLOGY BENIGN
TOTAL_OUTLINES 1 
BOUNDARY
FILE: B_3141_1.RIGHT_CC.OVERLAY

TOTAL_ABNORMALITIES 1
ABNORMALITY 1
LESION_TYPE CALCIFICATION TYPE PLEOMORPHIC DISTRIBUTION CLUSTERED
ASSESSMENT 4
SUBTLETY 3
PATHOLOGY BENIGN
TOTAL_OUTLINES 1 
BOUNDARY