Digital Database for Screening Mammography

Volume: benign_01 Case: B-3145-1


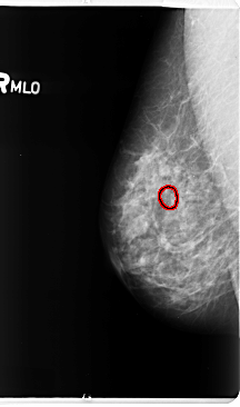
B_3145_1.RIGHT_MLO

B_3145_1.LEFT_MLO

B_3145_1.RIGHT_CC

B_3145_1.LEFT_CC

ics_version 1.0
filename B-3145-1
DATE_OF_STUDY 29 4 1997
PATIENT_AGE 47
FILM
FILM_TYPE REGULAR
DENSITY 3
DATE_DIGITIZED 21 4 1998
DIGITIZER LUMISYS LASER
SEQUENCE
LEFT_CC LINES 4768 PIXELS_PER_LINE 2512 BITS_PER_PIXEL 12 RESOLUTION 50 NON_OVERLAY
LEFT_MLO LINES 4744 PIXELS_PER_LINE 2720 BITS_PER_PIXEL 12 RESOLUTION 50 NON_OVERLAY
RIGHT_CC LINES 4664 PIXELS_PER_LINE 2936 BITS_PER_PIXEL 12 RESOLUTION 50 OVERLAY
RIGHT_MLO LINES 4752 PIXELS_PER_LINE 2808 BITS_PER_PIXEL 12 RESOLUTION 50 OVERLAY

FILE: B_3145_1.RIGHT_MLO.OVERLAY

TOTAL_ABNORMALITIES 1
ABNORMALITY 1
LESION_TYPE CALCIFICATION TYPE PLEOMORPHIC DISTRIBUTION CLUSTERED
ASSESSMENT 4
SUBTLETY 4
PATHOLOGY BENIGN
TOTAL_OUTLINES 1 
BOUNDARY
FILE: B_3145_1.RIGHT_CC.OVERLAY

TOTAL_ABNORMALITIES 1
ABNORMALITY 1
LESION_TYPE CALCIFICATION TYPE PLEOMORPHIC DISTRIBUTION CLUSTERED
ASSESSMENT 4
SUBTLETY 4
PATHOLOGY BENIGN
TOTAL_OUTLINES 1 
BOUNDARY