Digital Database for Screening Mammography

Volume: benign_01 Case: B-3150-1


B_3150_1.RIGHT_MLO

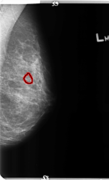
B_3150_1.LEFT_MLO

B_3150_1.RIGHT_CC

B_3150_1.LEFT_CC

ics_version 1.0
filename B-3150-1
DATE_OF_STUDY 22 7 1997
PATIENT_AGE 48
FILM
FILM_TYPE REGULAR
DENSITY 2
DATE_DIGITIZED 5 5 1998
DIGITIZER LUMISYS LASER
SEQUENCE
LEFT_CC LINES 4776 PIXELS_PER_LINE 2720 BITS_PER_PIXEL 12 RESOLUTION 50 OVERLAY
LEFT_MLO LINES 4784 PIXELS_PER_LINE 2880 BITS_PER_PIXEL 12 RESOLUTION 50 OVERLAY
RIGHT_CC LINES 4776 PIXELS_PER_LINE 2728 BITS_PER_PIXEL 12 RESOLUTION 50 NON_OVERLAY
RIGHT_MLO LINES 4792 PIXELS_PER_LINE 2912 BITS_PER_PIXEL 12 RESOLUTION 50 NON_OVERLAY

FILE: B_3150_1.LEFT_MLO.OVERLAY

TOTAL_ABNORMALITIES 1
ABNORMALITY 1
LESION_TYPE CALCIFICATION TYPE PLEOMORPHIC DISTRIBUTION CLUSTERED
ASSESSMENT 4
SUBTLETY 3
PATHOLOGY BENIGN
TOTAL_OUTLINES 1 
BOUNDARY
FILE: B_3150_1.LEFT_CC.OVERLAY

TOTAL_ABNORMALITIES 1
ABNORMALITY 1
LESION_TYPE CALCIFICATION TYPE PLEOMORPHIC DISTRIBUTION CLUSTERED
ASSESSMENT 4
SUBTLETY 3
PATHOLOGY BENIGN
TOTAL_OUTLINES 1 
BOUNDARY