Digital Database for Screening Mammography

Volume: benign_01 Case: B-3152-1


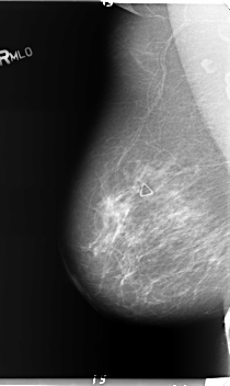
B_3152_1.RIGHT_MLO

B_3152_1.LEFT_MLO

B_3152_1.RIGHT_CC

B_3152_1.LEFT_CC

ics_version 1.0
filename B-3152-1
DATE_OF_STUDY 1 7 1997
PATIENT_AGE 55
FILM
FILM_TYPE REGULAR
DENSITY 3
DATE_DIGITIZED 5 5 1998
DIGITIZER LUMISYS LASER
SEQUENCE
LEFT_CC LINES 5944 PIXELS_PER_LINE 3224 BITS_PER_PIXEL 12 RESOLUTION 50 OVERLAY
LEFT_MLO LINES 5992 PIXELS_PER_LINE 3480 BITS_PER_PIXEL 12 RESOLUTION 50 OVERLAY
RIGHT_CC LINES 5976 PIXELS_PER_LINE 3528 BITS_PER_PIXEL 12 RESOLUTION 50 NON_OVERLAY
RIGHT_MLO LINES 5976 PIXELS_PER_LINE 3560 BITS_PER_PIXEL 12 RESOLUTION 50 NON_OVERLAY

FILE: B_3152_1.LEFT_MLO.OVERLAY

TOTAL_ABNORMALITIES 1
ABNORMALITY 1
LESION_TYPE MASS SHAPE LOBULATED MARGINS CIRCUMSCRIBED
ASSESSMENT 4
SUBTLETY 4
PATHOLOGY BENIGN
TOTAL_OUTLINES 1 
BOUNDARY
FILE: B_3152_1.LEFT_CC.OVERLAY

TOTAL_ABNORMALITIES 1
ABNORMALITY 1
LESION_TYPE MASS SHAPE LOBULATED MARGINS CIRCUMSCRIBED-ILL_DEFINED
ASSESSMENT 4
SUBTLETY 4
PATHOLOGY BENIGN
TOTAL_OUTLINES 1 
BOUNDARY