Digital Database for Screening Mammography

Volume: benign_01 Case: B-3153-1


B_3153_1.RIGHT_MLO

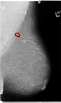
B_3153_1.LEFT_MLO

B_3153_1.RIGHT_CC

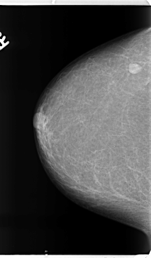
B_3153_1.LEFT_CC

ics_version 1.0
filename B-3153-1
DATE_OF_STUDY 13 5 1998
PATIENT_AGE 69
FILM
FILM_TYPE REGULAR
DENSITY 1
DATE_DIGITIZED 21 4 1998
DIGITIZER LUMISYS LASER
SEQUENCE
LEFT_CC LINES 4688 PIXELS_PER_LINE 2720 BITS_PER_PIXEL 12 RESOLUTION 50 OVERLAY
LEFT_MLO LINES 4688 PIXELS_PER_LINE 2776 BITS_PER_PIXEL 12 RESOLUTION 50 OVERLAY
RIGHT_CC LINES 4728 PIXELS_PER_LINE 2760 BITS_PER_PIXEL 12 RESOLUTION 50 NON_OVERLAY
RIGHT_MLO LINES 4736 PIXELS_PER_LINE 2872 BITS_PER_PIXEL 12 RESOLUTION 50 NON_OVERLAY

FILE: B_3153_1.LEFT_MLO.OVERLAY

TOTAL_ABNORMALITIES 1
ABNORMALITY 1
LESION_TYPE MASS SHAPE IRREGULAR MARGINS ILL_DEFINED-SPICULATED
ASSESSMENT 4
SUBTLETY 3
PATHOLOGY BENIGN
TOTAL_OUTLINES 1 
BOUNDARY
FILE: B_3153_1.LEFT_CC.OVERLAY

TOTAL_ABNORMALITIES 1
ABNORMALITY 1
LESION_TYPE MASS SHAPE IRREGULAR MARGINS ILL_DEFINED
ASSESSMENT 4
SUBTLETY 4
PATHOLOGY BENIGN
TOTAL_OUTLINES 1 
BOUNDARY