Digital Database for Screening Mammography

Volume: benign_02 Case: A-1282-1


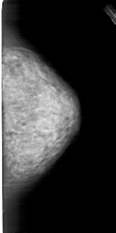
A_1282_1.LEFT_MLO

A_1282_1.RIGHT_MLO

A_1282_1.LEFT_CC

A_1282_1.RIGHT_CC

ics_version 1.0
filename A-1282-1
DATE_OF_STUDY 7 8 1995
PATIENT_AGE 54
FILM
FILM_TYPE REGULAR
DENSITY 4
DATE_DIGITIZED 7 7 1998
DIGITIZER HOWTEK 43.5
SEQUENCE
LEFT_CC LINES 5266 PIXELS_PER_LINE 2761 BITS_PER_PIXEL 12 RESOLUTION 43.5 OVERLAY
LEFT_MLO LINES 5491 PIXELS_PER_LINE 2971 BITS_PER_PIXEL 12 RESOLUTION 43.5 OVERLAY
RIGHT_CC LINES 4951 PIXELS_PER_LINE 2461 BITS_PER_PIXEL 12 RESOLUTION 43.5 NON_OVERLAY
RIGHT_MLO LINES 5446 PIXELS_PER_LINE 2776 BITS_PER_PIXEL 12 RESOLUTION 43.5 NON_OVERLAY

FILE: A_1282_1.LEFT_MLO.OVERLAY

TOTAL_ABNORMALITIES 1
ABNORMALITY 1 
LESION_TYPE MASS SHAPE ARCHITECTURAL_DISTORTION MARGINS SPICULATED
ASSESSMENT 4 
SUBTLETY 1 
PATHOLOGY BENIGN
TOTAL_OUTLINES 2 
BOUNDARY
	CORE
FILE: A_1282_1.LEFT_CC.OVERLAY

TOTAL_ABNORMALITIES 1
ABNORMALITY 1 
LESION_TYPE MASS SHAPE ARCHITECTURAL_DISTORTION MARGINS SPICULATED
ASSESSMENT 4 
SUBTLETY 1 
PATHOLOGY BENIGN
TOTAL_OUTLINES 1 
BOUNDARY