Digital Database for Screening Mammography

Volume: benign_02 Case: A-1315-1


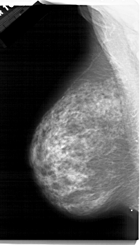
A_1315_1.LEFT_MLO

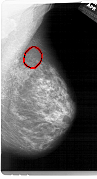
A_1315_1.RIGHT_MLO

A_1315_1.LEFT_CC

A_1315_1.RIGHT_CC

ics_version 1.0
filename A-1315-1
DATE_OF_STUDY 16 4 1996
PATIENT_AGE 59
FILM
FILM_TYPE REGULAR
DENSITY 4
DATE_DIGITIZED 24 7 1998
DIGITIZER HOWTEK 43.5
SEQUENCE
LEFT_CC LINES 6226 PIXELS_PER_LINE 3556 BITS_PER_PIXEL 12 RESOLUTION 43.5 NON_OVERLAY
LEFT_MLO LINES 6721 PIXELS_PER_LINE 3856 BITS_PER_PIXEL 12 RESOLUTION 43.5 NON_OVERLAY
RIGHT_CC LINES 5941 PIXELS_PER_LINE 3391 BITS_PER_PIXEL 12 RESOLUTION 43.5 OVERLAY
RIGHT_MLO LINES 6871 PIXELS_PER_LINE 3706 BITS_PER_PIXEL 12 RESOLUTION 43.5 OVERLAY

FILE: A_1315_1.RIGHT_MLO.OVERLAY

TOTAL_ABNORMALITIES 1
ABNORMALITY 1 
LESION_TYPE CALCIFICATION TYPE PLEOMORPHIC DISTRIBUTION CLUSTERED
ASSESSMENT 4 
SUBTLETY 2 
PATHOLOGY BENIGN
TOTAL_OUTLINES 1 
BOUNDARY
FILE: A_1315_1.RIGHT_CC.OVERLAY

TOTAL_ABNORMALITIES 1
ABNORMALITY 1 
LESION_TYPE CALCIFICATION TYPE PLEOMORPHIC DISTRIBUTION CLUSTERED
ASSESSMENT 4 
SUBTLETY 2 
PATHOLOGY BENIGN
TOTAL_OUTLINES 1 
BOUNDARY