Digital Database for Screening Mammography

Volume: benign_02 Case: A-1330-1


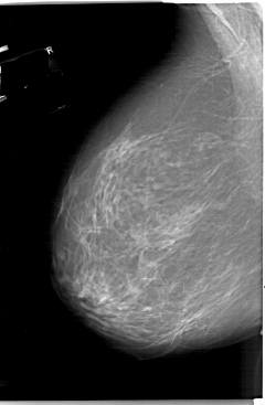
A_1330_1.LEFT_MLO

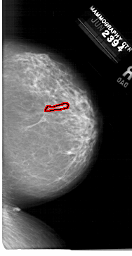
A_1330_1.RIGHT_MLO

A_1330_1.LEFT_CC

A_1330_1.RIGHT_CC

ics_version 1.0
filename A-1330-1
DATE_OF_STUDY 23 6 1994
PATIENT_AGE 64
FILM
FILM_TYPE REGULAR
DENSITY 3
DATE_DIGITIZED 29 6 1998
DIGITIZER HOWTEK 43.5
SEQUENCE
LEFT_CC LINES 6451 PIXELS_PER_LINE 4306 BITS_PER_PIXEL 12 RESOLUTION 43.5 NON_OVERLAY
LEFT_MLO LINES 6601 PIXELS_PER_LINE 4306 BITS_PER_PIXEL 12 RESOLUTION 43.5 NON_OVERLAY
RIGHT_CC LINES 6526 PIXELS_PER_LINE 3376 BITS_PER_PIXEL 12 RESOLUTION 43.5 OVERLAY
RIGHT_MLO LINES 5896 PIXELS_PER_LINE 3121 BITS_PER_PIXEL 12 RESOLUTION 43.5 OVERLAY

FILE: A_1330_1.RIGHT_MLO.OVERLAY

TOTAL_ABNORMALITIES 1
ABNORMALITY 1 
LESION_TYPE CALCIFICATION TYPE PLEOMORPHIC DISTRIBUTION LINEAR
ASSESSMENT 4 
SUBTLETY 2 
PATHOLOGY BENIGN
TOTAL_OUTLINES 1 
BOUNDARY
FILE: A_1330_1.RIGHT_CC.OVERLAY

TOTAL_ABNORMALITIES 1
ABNORMALITY 1 
LESION_TYPE CALCIFICATION TYPE PLEOMORPHIC DISTRIBUTION LINEAR
ASSESSMENT 4 
SUBTLETY 2 
PATHOLOGY BENIGN
TOTAL_OUTLINES 1 
BOUNDARY