Digital Database for Screening Mammography

Volume: benign_02 Case: A-1343-1


A_1343_1.LEFT_MLO

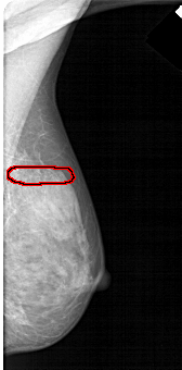
A_1343_1.RIGHT_MLO

A_1343_1.LEFT_CC

A_1343_1.RIGHT_CC

ics_version 1.0
filename A-1343-1
DATE_OF_STUDY 11 12 1991
PATIENT_AGE 51
FILM
FILM_TYPE REGULAR
DENSITY 4
DATE_DIGITIZED 20 8 1998
DIGITIZER HOWTEK 43.5
SEQUENCE
LEFT_CC LINES 4171 PIXELS_PER_LINE 1666 BITS_PER_PIXEL 12 RESOLUTION 43.5 NON_OVERLAY
LEFT_MLO LINES 4666 PIXELS_PER_LINE 2056 BITS_PER_PIXEL 12 RESOLUTION 43.5 NON_OVERLAY
RIGHT_CC LINES 3601 PIXELS_PER_LINE 1576 BITS_PER_PIXEL 12 RESOLUTION 43.5 NON_OVERLAY
RIGHT_MLO LINES 4411 PIXELS_PER_LINE 2176 BITS_PER_PIXEL 12 RESOLUTION 43.5 OVERLAY

FILE: A_1343_1.RIGHT_MLO.OVERLAY

TOTAL_ABNORMALITIES 1
ABNORMALITY 1 
LESION_TYPE CALCIFICATION TYPE AMORPHOUS DISTRIBUTION CLUSTERED
ASSESSMENT 4 
SUBTLETY 2 
PATHOLOGY BENIGN
TOTAL_OUTLINES 1 
BOUNDARY