Digital Database for Screening Mammography

Volume: benign_02 Case: A-1353-1


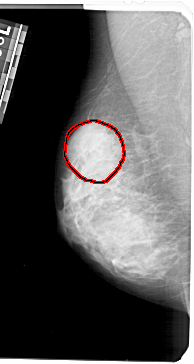
A_1353_1.LEFT_MLO

A_1353_1.RIGHT_MLO

A_1353_1.LEFT_CC

A_1353_1.RIGHT_CC

ics_version 1.0
filename A-1353-1
DATE_OF_STUDY 21 1 1993
PATIENT_AGE 44
FILM
FILM_TYPE REGULAR
DENSITY 4
DATE_DIGITIZED 25 8 1998
DIGITIZER HOWTEK 43.5
SEQUENCE
LEFT_CC LINES 5191 PIXELS_PER_LINE 2581 BITS_PER_PIXEL 12 RESOLUTION 43.5 OVERLAY
LEFT_MLO LINES 5446 PIXELS_PER_LINE 2896 BITS_PER_PIXEL 12 RESOLUTION 43.5 OVERLAY
RIGHT_CC LINES 5071 PIXELS_PER_LINE 2446 BITS_PER_PIXEL 12 RESOLUTION 43.5 NON_OVERLAY
RIGHT_MLO LINES 5491 PIXELS_PER_LINE 2731 BITS_PER_PIXEL 12 RESOLUTION 43.5 NON_OVERLAY

FILE: A_1353_1.LEFT_MLO.OVERLAY

TOTAL_ABNORMALITIES 1
ABNORMALITY 1 
LESION_TYPE CALCIFICATION TYPE PLEOMORPHIC DISTRIBUTION SEGMENTAL
ASSESSMENT 4 
SUBTLETY 2 
PATHOLOGY BENIGN
TOTAL_OUTLINES 1 
BOUNDARY
FILE: A_1353_1.LEFT_CC.OVERLAY

TOTAL_ABNORMALITIES 1
ABNORMALITY 1 
LESION_TYPE CALCIFICATION TYPE PLEOMORPHIC DISTRIBUTION SEGMENTAL
ASSESSMENT 4 
SUBTLETY 2 
PATHOLOGY BENIGN
TOTAL_OUTLINES 1 
BOUNDARY