Digital Database for Screening Mammography

Volume: benign_03 Case: A-1408-1


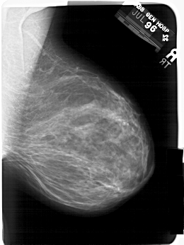
A_1408_1.LEFT_MLO

A_1408_1.RIGHT_MLO

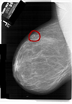
A_1408_1.LEFT_CC

A_1408_1.RIGHT_CC

ics_version 1.0
filename A-1408-1
DATE_OF_STUDY 10 7 1996
PATIENT_AGE 34
FILM
FILM_TYPE REGULAR
DENSITY 3
DATE_DIGITIZED 14 9 1998
DIGITIZER HOWTEK 43.5
SEQUENCE
LEFT_CC LINES 6676 PIXELS_PER_LINE 4906 BITS_PER_PIXEL 12 RESOLUTION 43.5 OVERLAY
LEFT_MLO LINES 6871 PIXELS_PER_LINE 4786 BITS_PER_PIXEL 12 RESOLUTION 43.5 OVERLAY
RIGHT_CC LINES 6841 PIXELS_PER_LINE 4681 BITS_PER_PIXEL 12 RESOLUTION 43.5 NON_OVERLAY
RIGHT_MLO LINES 6556 PIXELS_PER_LINE 4936 BITS_PER_PIXEL 12 RESOLUTION 43.5 NON_OVERLAY

FILE: A_1408_1.LEFT_MLO.OVERLAY

TOTAL_ABNORMALITIES 1
ABNORMALITY 1 
LESION_TYPE MASS SHAPE OVAL MARGINS CIRCUMSCRIBED
ASSESSMENT 4 
SUBTLETY 4 
PATHOLOGY BENIGN
TOTAL_OUTLINES 1 
BOUNDARY
FILE: A_1408_1.LEFT_CC.OVERLAY

TOTAL_ABNORMALITIES 1
ABNORMALITY 1 
LESION_TYPE MASS SHAPE OVAL MARGINS CIRCUMSCRIBED
ASSESSMENT 4 
SUBTLETY 4 
PATHOLOGY BENIGN
TOTAL_OUTLINES 1 
BOUNDARY