Digital Database for Screening Mammography

Volume: benign_04 Case: C-0255-1


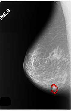
C_0255_1.RIGHT_MLO

C_0255_1.LEFT_MLO

C_0255_1.RIGHT_CC

C_0255_1.LEFT_CC

ics_version 1.0
filename C-0255-1
DATE_OF_STUDY 16 6 1995
PATIENT_AGE 50
FILM
FILM_TYPE REGULAR
DENSITY 2
DATE_DIGITIZED 12 5 1998
DIGITIZER LUMISYS LASER
SEQUENCE
LEFT_CC LINES 5912 PIXELS_PER_LINE 3560 BITS_PER_PIXEL 12 RESOLUTION 50 NON_OVERLAY
LEFT_MLO LINES 5880 PIXELS_PER_LINE 3624 BITS_PER_PIXEL 12 RESOLUTION 50 NON_OVERLAY
RIGHT_CC LINES 5832 PIXELS_PER_LINE 3824 BITS_PER_PIXEL 12 RESOLUTION 50 OVERLAY
RIGHT_MLO LINES 5880 PIXELS_PER_LINE 3776 BITS_PER_PIXEL 12 RESOLUTION 50 OVERLAY

FILE: C_0255_1.RIGHT_MLO.OVERLAY

TOTAL_ABNORMALITIES 1
ABNORMALITY 1
LESION_TYPE MASS SHAPE OVAL MARGINS CIRCUMSCRIBED
ASSESSMENT 4
SUBTLETY 5
PATHOLOGY BENIGN
TOTAL_OUTLINES 1 
BOUNDARY
FILE: C_0255_1.RIGHT_CC.OVERLAY

TOTAL_ABNORMALITIES 1
ABNORMALITY 1
LESION_TYPE MASS SHAPE OVAL MARGINS CIRCUMSCRIBED
ASSESSMENT 4
SUBTLETY 5
PATHOLOGY BENIGN
TOTAL_OUTLINES 1 
BOUNDARY