Digital Database for Screening Mammography

Volume: benign_04 Case: C-0257-1


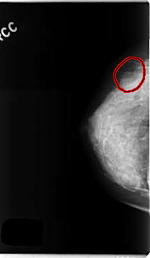
C_0257_1.RIGHT_MLO

C_0257_1.LEFT_MLO

C_0257_1.RIGHT_CC

C_0257_1.LEFT_CC

ics_version 1.0
filename C-0257-1
DATE_OF_STUDY 18 3 1995
PATIENT_AGE 44
FILM
FILM_TYPE REGULAR
DENSITY 4
DATE_DIGITIZED 12 5 1998
DIGITIZER LUMISYS LASER
SEQUENCE
LEFT_CC LINES 4768 PIXELS_PER_LINE 2680 BITS_PER_PIXEL 12 RESOLUTION 50 OVERLAY
LEFT_MLO LINES 4768 PIXELS_PER_LINE 2640 BITS_PER_PIXEL 12 RESOLUTION 50 OVERLAY
RIGHT_CC LINES 4728 PIXELS_PER_LINE 2752 BITS_PER_PIXEL 12 RESOLUTION 50 OVERLAY
RIGHT_MLO LINES 4744 PIXELS_PER_LINE 2864 BITS_PER_PIXEL 12 RESOLUTION 50 OVERLAY

FILE: C_0257_1.LEFT_MLO.OVERLAY

TOTAL_ABNORMALITIES 1
ABNORMALITY 1
LESION_TYPE CALCIFICATION TYPE ROUND_AND_REGULAR DISTRIBUTION CLUSTERED
ASSESSMENT 3
SUBTLETY 5
PATHOLOGY BENIGN
TOTAL_OUTLINES 1 
BOUNDARY
FILE: C_0257_1.RIGHT_MLO.OVERLAY

TOTAL_ABNORMALITIES 1
ABNORMALITY 1
LESION_TYPE MASS SHAPE OVAL MARGINS OBSCURED
ASSESSMENT 4
SUBTLETY 3
PATHOLOGY BENIGN
TOTAL_OUTLINES 1 
BOUNDARY
FILE: C_0257_1.LEFT_CC.OVERLAY

TOTAL_ABNORMALITIES 1
ABNORMALITY 1
LESION_TYPE CALCIFICATION TYPE ROUND_AND_REGULAR DISTRIBUTION CLUSTERED
ASSESSMENT 3
SUBTLETY 5
PATHOLOGY BENIGN
TOTAL_OUTLINES 1 
BOUNDARY
FILE: C_0257_1.RIGHT_CC.OVERLAY

TOTAL_ABNORMALITIES 1
ABNORMALITY 1
LESION_TYPE MASS SHAPE OVAL MARGINS OBSCURED
ASSESSMENT 4
SUBTLETY 4
PATHOLOGY BENIGN
TOTAL_OUTLINES 1 
BOUNDARY