Digital Database for Screening Mammography

Volume: benign_04 Case: C-0270-1


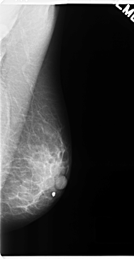
C_0270_1.RIGHT_MLO

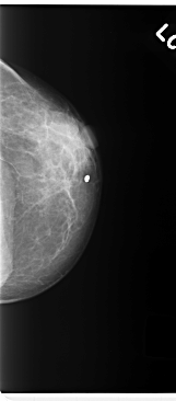
C_0270_1.LEFT_MLO

C_0270_1.RIGHT_CC

C_0270_1.LEFT_CC

ics_version 1.0
filename C-0270-1
DATE_OF_STUDY 18 9 1995
PATIENT_AGE 41
FILM
FILM_TYPE REGULAR
DENSITY 2
DATE_DIGITIZED 19 5 1998
DIGITIZER LUMISYS LASER
SEQUENCE
LEFT_CC LINES 4752 PIXELS_PER_LINE 2088 BITS_PER_PIXEL 12 RESOLUTION 50 NON_OVERLAY
LEFT_MLO LINES 4736 PIXELS_PER_LINE 2456 BITS_PER_PIXEL 12 RESOLUTION 50 NON_OVERLAY
RIGHT_CC LINES 4720 PIXELS_PER_LINE 2928 BITS_PER_PIXEL 12 RESOLUTION 50 OVERLAY
RIGHT_MLO LINES 4760 PIXELS_PER_LINE 2712 BITS_PER_PIXEL 12 RESOLUTION 50 OVERLAY

FILE: C_0270_1.RIGHT_MLO.OVERLAY

TOTAL_ABNORMALITIES 1
ABNORMALITY 1
LESION_TYPE MASS SHAPE OVAL MARGINS CIRCUMSCRIBED
ASSESSMENT 3
SUBTLETY 5
PATHOLOGY BENIGN
TOTAL_OUTLINES 1 
BOUNDARY
FILE: C_0270_1.RIGHT_CC.OVERLAY

TOTAL_ABNORMALITIES 1
ABNORMALITY 1
LESION_TYPE MASS SHAPE OVAL MARGINS OBSCURED
ASSESSMENT 3
SUBTLETY 3
PATHOLOGY BENIGN
TOTAL_OUTLINES 1 
BOUNDARY