Digital Database for Screening Mammography

Volume: benign_04 Case: C-0271-1


C_0271_1.RIGHT_MLO

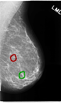
C_0271_1.LEFT_MLO

C_0271_1.RIGHT_CC

C_0271_1.LEFT_CC

ics_version 1.0
filename C-0271-1
DATE_OF_STUDY 4 8 1995
PATIENT_AGE 53
FILM
FILM_TYPE REGULAR
DENSITY 2
DATE_DIGITIZED 21 5 1998
DIGITIZER LUMISYS LASER
SEQUENCE
LEFT_CC LINES 4544 PIXELS_PER_LINE 3024 BITS_PER_PIXEL 12 RESOLUTION 50 OVERLAY
LEFT_MLO LINES 4712 PIXELS_PER_LINE 2784 BITS_PER_PIXEL 12 RESOLUTION 50 OVERLAY
RIGHT_CC LINES 4712 PIXELS_PER_LINE 2568 BITS_PER_PIXEL 12 RESOLUTION 50 NON_OVERLAY
RIGHT_MLO LINES 4736 PIXELS_PER_LINE 2888 BITS_PER_PIXEL 12 RESOLUTION 50 NON_OVERLAY

FILE: C_0271_1.LEFT_MLO.OVERLAY

TOTAL_ABNORMALITIES 2
ABNORMALITY 1
LESION_TYPE CALCIFICATION TYPE PUNCTATE DISTRIBUTION CLUSTERED
ASSESSMENT 3
SUBTLETY 4
PATHOLOGY BENIGN
TOTAL_OUTLINES 1 
BOUNDARY
ABNORMALITY 2
LESION_TYPE CALCIFICATION TYPE PUNCTATE DISTRIBUTION CLUSTERED
ASSESSMENT 4
SUBTLETY 5
PATHOLOGY BENIGN
TOTAL_OUTLINES 1 
BOUNDARY
FILE: C_0271_1.LEFT_CC.OVERLAY

TOTAL_ABNORMALITIES 2
ABNORMALITY 1
LESION_TYPE CALCIFICATION TYPE PUNCTATE DISTRIBUTION CLUSTERED
ASSESSMENT 4
SUBTLETY 5
PATHOLOGY BENIGN
TOTAL_OUTLINES 1 
BOUNDARY
ABNORMALITY 2
LESION_TYPE CALCIFICATION TYPE PUNCTATE DISTRIBUTION CLUSTERED
ASSESSMENT 3
SUBTLETY 4
PATHOLOGY BENIGN
TOTAL_OUTLINES 1 
BOUNDARY