Digital Database for Screening Mammography

Volume: benign_04 Case: C-0272-1


C_0272_1.RIGHT_MLO

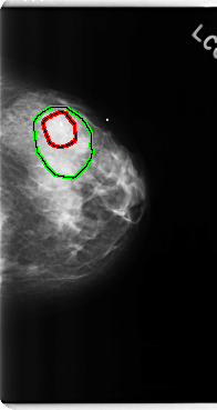
C_0272_1.LEFT_MLO

C_0272_1.RIGHT_CC

C_0272_1.LEFT_CC

ics_version 1.0
filename C-0272-1
DATE_OF_STUDY 19 6 1995
PATIENT_AGE 40
FILM
FILM_TYPE REGULAR
DENSITY 3
DATE_DIGITIZED 21 5 1998
DIGITIZER LUMISYS LASER
SEQUENCE
LEFT_CC LINES 4792 PIXELS_PER_LINE 2536 BITS_PER_PIXEL 12 RESOLUTION 50 OVERLAY
LEFT_MLO LINES 4560 PIXELS_PER_LINE 2992 BITS_PER_PIXEL 12 RESOLUTION 50 OVERLAY
RIGHT_CC LINES 4736 PIXELS_PER_LINE 2664 BITS_PER_PIXEL 12 RESOLUTION 50 NON_OVERLAY
RIGHT_MLO LINES 4712 PIXELS_PER_LINE 2688 BITS_PER_PIXEL 12 RESOLUTION 50 NON_OVERLAY

FILE: C_0272_1.LEFT_MLO.OVERLAY

TOTAL_ABNORMALITIES 2
ABNORMALITY 1
LESION_TYPE CALCIFICATION TYPE AMORPHOUS DISTRIBUTION CLUSTERED
ASSESSMENT 4
SUBTLETY 5
PATHOLOGY BENIGN
TOTAL_OUTLINES 1 
BOUNDARY
ABNORMALITY 2
LESION_TYPE MASS SHAPE OVAL MARGINS OBSCURED
ASSESSMENT 3
SUBTLETY 4
PATHOLOGY BENIGN
TOTAL_OUTLINES 1 
BOUNDARY
FILE: C_0272_1.LEFT_CC.OVERLAY

TOTAL_ABNORMALITIES 2
ABNORMALITY 1
LESION_TYPE CALCIFICATION TYPE PLEOMORPHIC DISTRIBUTION CLUSTERED
ASSESSMENT 4
SUBTLETY 5
PATHOLOGY BENIGN
TOTAL_OUTLINES 1 
BOUNDARY
ABNORMALITY 2
LESION_TYPE MASS SHAPE LOBULATED MARGINS OBSCURED
ASSESSMENT 3
SUBTLETY 3
PATHOLOGY BENIGN
TOTAL_OUTLINES 1 
BOUNDARY