Digital Database for Screening Mammography

Volume: benign_04 Case: C-0273-1


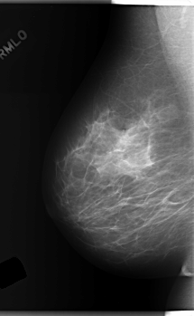
C_0273_1.RIGHT_MLO

C_0273_1.LEFT_MLO

C_0273_1.RIGHT_CC

C_0273_1.LEFT_CC

ics_version 1.0
filename C-0273-1
DATE_OF_STUDY 13 10 1995
PATIENT_AGE 39
FILM
FILM_TYPE REGULAR
DENSITY 2
DATE_DIGITIZED 21 5 1998
DIGITIZER LUMISYS LASER
SEQUENCE
LEFT_CC LINES 6040 PIXELS_PER_LINE 3424 BITS_PER_PIXEL 12 RESOLUTION 50 OVERLAY
LEFT_MLO LINES 5976 PIXELS_PER_LINE 3408 BITS_PER_PIXEL 12 RESOLUTION 50 OVERLAY
RIGHT_CC LINES 5992 PIXELS_PER_LINE 3672 BITS_PER_PIXEL 12 RESOLUTION 50 NON_OVERLAY
RIGHT_MLO LINES 5928 PIXELS_PER_LINE 3640 BITS_PER_PIXEL 12 RESOLUTION 50 NON_OVERLAY

FILE: C_0273_1.LEFT_MLO.OVERLAY

TOTAL_ABNORMALITIES 1
ABNORMALITY 1
LESION_TYPE MASS SHAPE ROUND MARGINS OBSCURED
ASSESSMENT 4
SUBTLETY 5
PATHOLOGY BENIGN
TOTAL_OUTLINES 1 
BOUNDARY
FILE: C_0273_1.LEFT_CC.OVERLAY

TOTAL_ABNORMALITIES 1
ABNORMALITY 1
LESION_TYPE MASS SHAPE OVAL MARGINS CIRCUMSCRIBED
ASSESSMENT 4
SUBTLETY 5
PATHOLOGY BENIGN
TOTAL_OUTLINES 1 
BOUNDARY