![]() |
![]() |
![]() |
![]() |
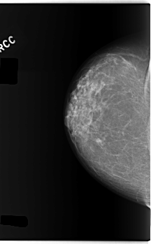
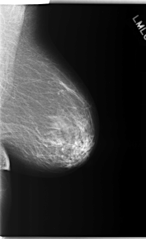
ics_version 1.0 filename C-0275-1 DATE_OF_STUDY 16 12 1994 PATIENT_AGE 52 FILM FILM_TYPE REGULAR DENSITY 2 DATE_DIGITIZED 21 5 1998 DIGITIZER LUMISYS LASER SEQUENCE LEFT_CC LINES 5968 PIXELS_PER_LINE 3576 BITS_PER_PIXEL 12 RESOLUTION 50 NON_OVERLAY LEFT_MLO LINES 5904 PIXELS_PER_LINE 3616 BITS_PER_PIXEL 12 RESOLUTION 50 NON_OVERLAY RIGHT_CC LINES 5928 PIXELS_PER_LINE 3664 BITS_PER_PIXEL 12 RESOLUTION 50 NON_OVERLAY RIGHT_MLO LINES 5944 PIXELS_PER_LINE 3880 BITS_PER_PIXEL 12 RESOLUTION 50 OVERLAY |
FILE: C_0275_1.RIGHT_MLO.OVERLAY TOTAL_ABNORMALITIES 1 ABNORMALITY 1 LESION_TYPE MASS SHAPE OVAL MARGINS ILL_DEFINED ASSESSMENT 4 SUBTLETY 4 PATHOLOGY BENIGN TOTAL_OUTLINES 1 BOUNDARY |