Digital Database for Screening Mammography

Volume: benign_04 Case: C-0278-1


C_0278_1.RIGHT_MLO

C_0278_1.LEFT_MLO

C_0278_1.RIGHT_CC

C_0278_1.LEFT_CC

ics_version 1.0
filename C-0278-1
DATE_OF_STUDY 29 9 1995
PATIENT_AGE 59
FILM
FILM_TYPE REGULAR
DENSITY 2
DATE_DIGITIZED 2 6 1998
DIGITIZER LUMISYS LASER
SEQUENCE
LEFT_CC LINES 4752 PIXELS_PER_LINE 2296 BITS_PER_PIXEL 12 RESOLUTION 50 NON_OVERLAY
LEFT_MLO LINES 4752 PIXELS_PER_LINE 2584 BITS_PER_PIXEL 12 RESOLUTION 50 NON_OVERLAY
RIGHT_CC LINES 4704 PIXELS_PER_LINE 2744 BITS_PER_PIXEL 12 RESOLUTION 50 OVERLAY
RIGHT_MLO LINES 4776 PIXELS_PER_LINE 2704 BITS_PER_PIXEL 12 RESOLUTION 50 OVERLAY

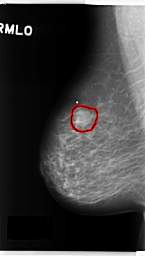
FILE: C_0278_1.RIGHT_MLO.OVERLAY

TOTAL_ABNORMALITIES 1
ABNORMALITY 1
LESION_TYPE MASS SHAPE ROUND MARGINS MICROLOBULATED
ASSESSMENT 4
SUBTLETY 5
PATHOLOGY BENIGN
TOTAL_OUTLINES 1 
BOUNDARY
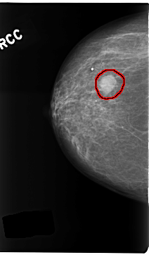
FILE: C_0278_1.RIGHT_CC.OVERLAY

TOTAL_ABNORMALITIES 1
ABNORMALITY 1
LESION_TYPE MASS SHAPE ROUND MARGINS CIRCUMSCRIBED
ASSESSMENT 4
SUBTLETY 5
PATHOLOGY BENIGN
TOTAL_OUTLINES 1 
BOUNDARY