Digital Database for Screening Mammography

Volume: benign_04 Case: C-0283-1


C_0283_1.RIGHT_MLO

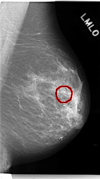
C_0283_1.LEFT_MLO

C_0283_1.RIGHT_CC

C_0283_1.LEFT_CC

ics_version 1.0
filename C-0283-1
DATE_OF_STUDY 12 9 1995
PATIENT_AGE 59
FILM
FILM_TYPE REGULAR
DENSITY 2
DATE_DIGITIZED 2 6 1998
DIGITIZER LUMISYS LASER
SEQUENCE
LEFT_CC LINES 4824 PIXELS_PER_LINE 2552 BITS_PER_PIXEL 12 RESOLUTION 50 OVERLAY
LEFT_MLO LINES 4752 PIXELS_PER_LINE 2656 BITS_PER_PIXEL 12 RESOLUTION 50 OVERLAY
RIGHT_CC LINES 4736 PIXELS_PER_LINE 2512 BITS_PER_PIXEL 12 RESOLUTION 50 NON_OVERLAY
RIGHT_MLO LINES 4704 PIXELS_PER_LINE 2552 BITS_PER_PIXEL 12 RESOLUTION 50 NON_OVERLAY

FILE: C_0283_1.LEFT_MLO.OVERLAY

TOTAL_ABNORMALITIES 1
ABNORMALITY 1
LESION_TYPE MASS SHAPE ARCHITECTURAL_DISTORTION MARGINS SPICULATED
ASSESSMENT 4
SUBTLETY 3
PATHOLOGY BENIGN
TOTAL_OUTLINES 1 
BOUNDARY
FILE: C_0283_1.LEFT_CC.OVERLAY

TOTAL_ABNORMALITIES 1
ABNORMALITY 1
LESION_TYPE MASS SHAPE ARCHITECTURAL_DISTORTION MARGINS SPICULATED
ASSESSMENT 4
SUBTLETY 5
PATHOLOGY BENIGN
TOTAL_OUTLINES 1 
BOUNDARY