![]() |
![]() |
![]() |
![]() |
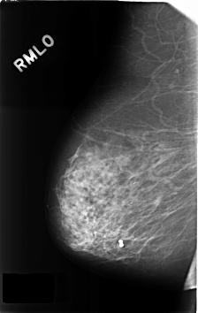
ics_version 1.0 filename C-0287-1 DATE_OF_STUDY 9 1 1995 PATIENT_AGE 89 FILM FILM_TYPE REGULAR DENSITY 2 DATE_DIGITIZED 4 8 1998 DIGITIZER LUMISYS LASER SEQUENCE LEFT_CC LINES 4592 PIXELS_PER_LINE 2960 BITS_PER_PIXEL 12 RESOLUTION 50 OVERLAY LEFT_MLO LINES 4584 PIXELS_PER_LINE 2976 BITS_PER_PIXEL 12 RESOLUTION 50 OVERLAY RIGHT_CC LINES 4568 PIXELS_PER_LINE 2928 BITS_PER_PIXEL 12 RESOLUTION 50 NON_OVERLAY RIGHT_MLO LINES 4600 PIXELS_PER_LINE 2904 BITS_PER_PIXEL 12 RESOLUTION 50 NON_OVERLAY |
FILE: C_0287_1.LEFT_MLO.OVERLAY TOTAL_ABNORMALITIES 1 ABNORMALITY 1 LESION_TYPE CALCIFICATION TYPE PLEOMORPHIC DISTRIBUTION CLUSTERED ASSESSMENT 4 SUBTLETY 5 PATHOLOGY BENIGN TOTAL_OUTLINES 1 BOUNDARY |
FILE: C_0287_1.LEFT_CC.OVERLAY TOTAL_ABNORMALITIES 1 ABNORMALITY 1 LESION_TYPE CALCIFICATION TYPE PLEOMORPHIC DISTRIBUTION CLUSTERED ASSESSMENT 4 SUBTLETY 5 PATHOLOGY BENIGN TOTAL_OUTLINES 1 BOUNDARY |