Digital Database for Screening Mammography

Volume: benign_04 Case: C-0315-1


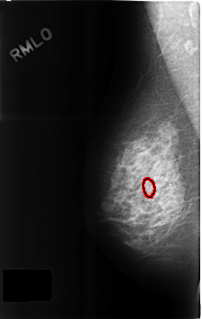
C_0315_1.RIGHT_MLO

C_0315_1.LEFT_MLO

C_0315_1.RIGHT_CC

C_0315_1.LEFT_CC

ics_version 1.0
filename C-0315-1
DATE_OF_STUDY 6 1 1995
PATIENT_AGE 65
FILM
FILM_TYPE REGULAR
DENSITY 3
DATE_DIGITIZED 7 8 1998
DIGITIZER LUMISYS LASER
SEQUENCE
LEFT_CC LINES 4568 PIXELS_PER_LINE 2992 BITS_PER_PIXEL 12 RESOLUTION 50 NON_OVERLAY
LEFT_MLO LINES 4608 PIXELS_PER_LINE 2864 BITS_PER_PIXEL 12 RESOLUTION 50 NON_OVERLAY
RIGHT_CC LINES 4656 PIXELS_PER_LINE 2968 BITS_PER_PIXEL 12 RESOLUTION 50 OVERLAY
RIGHT_MLO LINES 4608 PIXELS_PER_LINE 2920 BITS_PER_PIXEL 12 RESOLUTION 50 OVERLAY

FILE: C_0315_1.RIGHT_MLO.OVERLAY

TOTAL_ABNORMALITIES 1
ABNORMALITY 1
LESION_TYPE CALCIFICATION TYPE PLEOMORPHIC DISTRIBUTION CLUSTERED
ASSESSMENT 4
SUBTLETY 4
PATHOLOGY BENIGN
TOTAL_OUTLINES 1 
BOUNDARY
FILE: C_0315_1.RIGHT_CC.OVERLAY

TOTAL_ABNORMALITIES 1
ABNORMALITY 1
LESION_TYPE CALCIFICATION TYPE PLEOMORPHIC DISTRIBUTION CLUSTERED
ASSESSMENT 4
SUBTLETY 4
PATHOLOGY BENIGN
TOTAL_OUTLINES 1 
BOUNDARY