Digital Database for Screening Mammography

Volume: benign_04 Case: C-0334-1


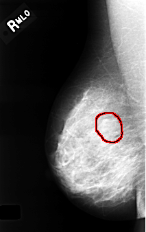
C_0334_1.RIGHT_MLO

C_0334_1.LEFT_MLO

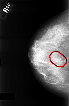
C_0334_1.RIGHT_CC

C_0334_1.LEFT_CC

ics_version 1.0
filename C-0334-1
DATE_OF_STUDY 25 9 1992
PATIENT_AGE 42
FILM
FILM_TYPE REGULAR
DENSITY 3
DATE_DIGITIZED 12 10 1998
DIGITIZER LUMISYS LASER
SEQUENCE
LEFT_CC LINES 4496 PIXELS_PER_LINE 2800 BITS_PER_PIXEL 12 RESOLUTION 50 NON_OVERLAY
LEFT_MLO LINES 4512 PIXELS_PER_LINE 2904 BITS_PER_PIXEL 12 RESOLUTION 50 NON_OVERLAY
RIGHT_CC LINES 4400 PIXELS_PER_LINE 2864 BITS_PER_PIXEL 12 RESOLUTION 50 OVERLAY
RIGHT_MLO LINES 4384 PIXELS_PER_LINE 2760 BITS_PER_PIXEL 12 RESOLUTION 50 OVERLAY

FILE: C_0334_1.RIGHT_MLO.OVERLAY

TOTAL_ABNORMALITIES 1
ABNORMALITY 1
LESION_TYPE MASS SHAPE LOBULATED MARGINS OBSCURED
ASSESSMENT 4
SUBTLETY 3
PATHOLOGY BENIGN
TOTAL_OUTLINES 1 
BOUNDARY
FILE: C_0334_1.RIGHT_CC.OVERLAY

TOTAL_ABNORMALITIES 1
ABNORMALITY 1
LESION_TYPE MASS SHAPE LOBULATED MARGINS OBSCURED
ASSESSMENT 4
SUBTLETY 4
PATHOLOGY BENIGN
TOTAL_OUTLINES 2 
BOUNDARY