Digital Database for Screening Mammography

Volume: benign_04 Case: B-3101-1


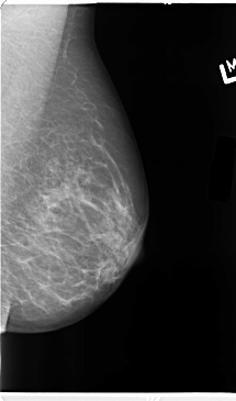
B_3101_1.RIGHT_MLO

B_3101_1.LEFT_MLO

B_3101_1.RIGHT_CC

B_3101_1.LEFT_CC

ics_version 1.0
filename B-3101-1
DATE_OF_STUDY 7 11 1996
PATIENT_AGE 48
FILM
FILM_TYPE REGULAR
DENSITY 3
DATE_DIGITIZED 6 2 1998
DIGITIZER LUMISYS LASER
SEQUENCE
LEFT_CC LINES 4632 PIXELS_PER_LINE 2632 BITS_PER_PIXEL 12 RESOLUTION 50 NON_OVERLAY
LEFT_MLO LINES 4744 PIXELS_PER_LINE 2792 BITS_PER_PIXEL 12 RESOLUTION 50 NON_OVERLAY
RIGHT_CC LINES 4720 PIXELS_PER_LINE 2472 BITS_PER_PIXEL 12 RESOLUTION 50 OVERLAY
RIGHT_MLO LINES 4696 PIXELS_PER_LINE 2640 BITS_PER_PIXEL 12 RESOLUTION 50 OVERLAY

FILE: B_3101_1.RIGHT_MLO.OVERLAY

TOTAL_ABNORMALITIES 1
ABNORMALITY 1
LESION_TYPE MASS SHAPE IRREGULAR-FOCAL_ASYMMETRIC_DENSITY MARGINS ILL_DEFINED
ASSESSMENT 3
SUBTLETY 2
PATHOLOGY BENIGN
TOTAL_OUTLINES 1 
BOUNDARY
FILE: B_3101_1.RIGHT_CC.OVERLAY

TOTAL_ABNORMALITIES 1
ABNORMALITY 1
LESION_TYPE MASS SHAPE IRREGULAR-FOCAL_ASYMMETRIC_DENSITY MARGINS ILL_DEFINED
ASSESSMENT 3
SUBTLETY 4
PATHOLOGY BENIGN
TOTAL_OUTLINES 1 
BOUNDARY