Digital Database for Screening Mammography

Volume: benign_04 Case: B-3120-1


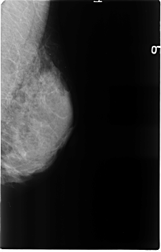
B_3120_1.RIGHT_MLO

B_3120_1.LEFT_MLO

B_3120_1.RIGHT_CC

B_3120_1.LEFT_CC

ics_version 1.0
filename B-3120-1
DATE_OF_STUDY 16 11 1994
PATIENT_AGE 50
FILM
FILM_TYPE REGULAR
DENSITY 4
DATE_DIGITIZED 25 2 1998
DIGITIZER LUMISYS LASER
SEQUENCE
LEFT_CC LINES 4624 PIXELS_PER_LINE 2976 BITS_PER_PIXEL 12 RESOLUTION 50 NON_OVERLAY
LEFT_MLO LINES 4632 PIXELS_PER_LINE 2960 BITS_PER_PIXEL 12 RESOLUTION 50 NON_OVERLAY
RIGHT_CC LINES 4616 PIXELS_PER_LINE 2960 BITS_PER_PIXEL 12 RESOLUTION 50 OVERLAY
RIGHT_MLO LINES 4656 PIXELS_PER_LINE 2992 BITS_PER_PIXEL 12 RESOLUTION 50 OVERLAY

FILE: B_3120_1.RIGHT_MLO.OVERLAY

TOTAL_ABNORMALITIES 2
ABNORMALITY 1
LESION_TYPE CALCIFICATION TYPE PUNCTATE-PLEOMORPHIC DISTRIBUTION CLUSTERED
ASSESSMENT 4
SUBTLETY 3
PATHOLOGY BENIGN
TOTAL_OUTLINES 1 
BOUNDARY
ABNORMALITY 2
LESION_TYPE CALCIFICATION TYPE PUNCTATE-PLEOMORPHIC DISTRIBUTION CLUSTERED
ASSESSMENT 4
SUBTLETY 3
PATHOLOGY BENIGN
TOTAL_OUTLINES 1 
BOUNDARY
FILE: B_3120_1.RIGHT_CC.OVERLAY

TOTAL_ABNORMALITIES 1
ABNORMALITY 1
LESION_TYPE CALCIFICATION TYPE PUNCTATE-PLEOMORPHIC DISTRIBUTION N/A
ASSESSMENT 4
SUBTLETY 3
PATHOLOGY BENIGN
TOTAL_OUTLINES 1 
BOUNDARY