![]() |
![]() |
![]() |
![]() |
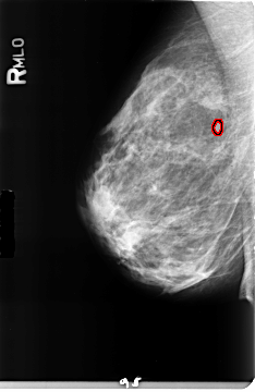
ics_version 1.0 filename B-3157-1 DATE_OF_STUDY 9 6 1997 PATIENT_AGE 42 FILM FILM_TYPE REGULAR DENSITY 2 DATE_DIGITIZED 5 5 1998 DIGITIZER LUMISYS LASER SEQUENCE LEFT_CC LINES 4720 PIXELS_PER_LINE 2928 BITS_PER_PIXEL 12 RESOLUTION 50 NON_OVERLAY LEFT_MLO LINES 4736 PIXELS_PER_LINE 2704 BITS_PER_PIXEL 12 RESOLUTION 50 NON_OVERLAY RIGHT_CC LINES 4704 PIXELS_PER_LINE 2800 BITS_PER_PIXEL 12 RESOLUTION 50 OVERLAY RIGHT_MLO LINES 4672 PIXELS_PER_LINE 3032 BITS_PER_PIXEL 12 RESOLUTION 50 OVERLAY |
FILE: B_3157_1.RIGHT_MLO.OVERLAY TOTAL_ABNORMALITIES 1 ABNORMALITY 1 LESION_TYPE MASS SHAPE LOBULATED MARGINS CIRCUMSCRIBED ASSESSMENT 4 SUBTLETY 4 PATHOLOGY BENIGN TOTAL_OUTLINES 1 BOUNDARY |
FILE: B_3157_1.RIGHT_CC.OVERLAY TOTAL_ABNORMALITIES 1 ABNORMALITY 1 LESION_TYPE MASS SHAPE LOBULATED MARGINS CIRCUMSCRIBED ASSESSMENT 4 SUBTLETY 4 PATHOLOGY BENIGN TOTAL_OUTLINES 1 BOUNDARY |