Digital Database for Screening Mammography

Volume: benign_04 Case: B-3360-1


B_3360_1.RIGHT_MLO

B_3360_1.LEFT_MLO

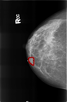
B_3360_1.RIGHT_CC

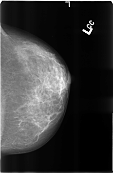
B_3360_1.LEFT_CC

ics_version 1.0
filename B-3360-1
DATE_OF_STUDY 21 11 1997
PATIENT_AGE 34
FILM
FILM_TYPE REGULAR
DENSITY 2
DATE_DIGITIZED 13 7 1998
DIGITIZER LUMISYS LASER
SEQUENCE
LEFT_CC LINES 4600 PIXELS_PER_LINE 3008 BITS_PER_PIXEL 12 RESOLUTION 50 NON_OVERLAY
LEFT_MLO LINES 4568 PIXELS_PER_LINE 3000 BITS_PER_PIXEL 12 RESOLUTION 50 NON_OVERLAY
RIGHT_CC LINES 4512 PIXELS_PER_LINE 2984 BITS_PER_PIXEL 12 RESOLUTION 50 OVERLAY
RIGHT_MLO LINES 4584 PIXELS_PER_LINE 3000 BITS_PER_PIXEL 12 RESOLUTION 50 OVERLAY

FILE: B_3360_1.RIGHT_MLO.OVERLAY

TOTAL_ABNORMALITIES 1
ABNORMALITY 1
LESION_TYPE MASS SHAPE LOBULATED MARGINS CIRCUMSCRIBED
ASSESSMENT 4
SUBTLETY 3
PATHOLOGY BENIGN
TOTAL_OUTLINES 1 
BOUNDARY
FILE: B_3360_1.RIGHT_CC.OVERLAY

TOTAL_ABNORMALITIES 1
ABNORMALITY 1
LESION_TYPE MASS SHAPE LOBULATED MARGINS CIRCUMSCRIBED
ASSESSMENT 3
SUBTLETY 4
PATHOLOGY BENIGN
TOTAL_OUTLINES 1 
BOUNDARY