Digital Database for Screening Mammography

Volume: benign_04 Case: B-3364-1


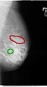
B_3364_1.RIGHT_MLO

B_3364_1.LEFT_MLO

B_3364_1.RIGHT_CC

B_3364_1.LEFT_CC

ics_version 1.0
filename B-3364-1
DATE_OF_STUDY 6 10 1997
PATIENT_AGE 69
FILM
FILM_TYPE REGULAR
DENSITY 3
DATE_DIGITIZED 19 5 1998
DIGITIZER LUMISYS LASER
SEQUENCE
LEFT_CC LINES 4792 PIXELS_PER_LINE 2304 BITS_PER_PIXEL 12 RESOLUTION 50 OVERLAY
LEFT_MLO LINES 4680 PIXELS_PER_LINE 2536 BITS_PER_PIXEL 12 RESOLUTION 50 OVERLAY
RIGHT_CC LINES 4744 PIXELS_PER_LINE 2680 BITS_PER_PIXEL 12 RESOLUTION 50 OVERLAY
RIGHT_MLO LINES 4704 PIXELS_PER_LINE 2592 BITS_PER_PIXEL 12 RESOLUTION 50 OVERLAY

FILE: B_3364_1.LEFT_MLO.OVERLAY

TOTAL_ABNORMALITIES 2
ABNORMALITY 1
LESION_TYPE CALCIFICATION TYPE PLEOMORPHIC DISTRIBUTION CLUSTERED-SEGMENTAL
ASSESSMENT 4
SUBTLETY 4
PATHOLOGY BENIGN
TOTAL_OUTLINES 1 
BOUNDARY
ABNORMALITY 2
LESION_TYPE CALCIFICATION TYPE PLEOMORPHIC DISTRIBUTION CLUSTERED-SEGMENTAL
ASSESSMENT 4
SUBTLETY 4
PATHOLOGY BENIGN
TOTAL_OUTLINES 1 
BOUNDARY
FILE: B_3364_1.RIGHT_MLO.OVERLAY

TOTAL_ABNORMALITIES 1
ABNORMALITY 1
LESION_TYPE CALCIFICATION TYPE PLEOMORPHIC DISTRIBUTION CLUSTERED
ASSESSMENT 4
SUBTLETY 3
PATHOLOGY BENIGN
TOTAL_OUTLINES 1 
BOUNDARY
FILE: B_3364_1.LEFT_CC.OVERLAY

TOTAL_ABNORMALITIES 3
ABNORMALITY 1
LESION_TYPE CALCIFICATION TYPE PLEOMORPHIC DISTRIBUTION CLUSTERED-SEGMENTAL
ASSESSMENT 4
SUBTLETY 4
PATHOLOGY BENIGN
TOTAL_OUTLINES 1 
BOUNDARY
ABNORMALITY 2
LESION_TYPE CALCIFICATION TYPE PLEOMORPHIC DISTRIBUTION CLUSTERED-SEGMENTAL
ASSESSMENT 4
SUBTLETY 4
PATHOLOGY BENIGN
TOTAL_OUTLINES 1 
BOUNDARY
ABNORMALITY 3
LESION_TYPE CALCIFICATION TYPE PLEOMORPHIC DISTRIBUTION CLUSTERED-SEGMENTAL
ASSESSMENT 4
SUBTLETY 4
PATHOLOGY BENIGN
TOTAL_OUTLINES 1 
BOUNDARY
FILE: B_3364_1.RIGHT_CC.OVERLAY

TOTAL_ABNORMALITIES 1
ABNORMALITY 1
LESION_TYPE CALCIFICATION TYPE PLEOMORPHIC DISTRIBUTION CLUSTERED
ASSESSMENT 4
SUBTLETY 3
PATHOLOGY BENIGN
TOTAL_OUTLINES 1 
BOUNDARY