Digital Database for Screening Mammography

Volume: benign_05 Case: A-1449-1


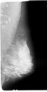
A_1449_1.LEFT_MLO

A_1449_1.RIGHT_MLO

A_1449_1.LEFT_CC

A_1449_1.RIGHT_CC

ics_version 1.0
filename A-1449-1
DATE_OF_STUDY 21 11 1991
PATIENT_AGE 47
FILM
FILM_TYPE REGULAR
DENSITY 4
DATE_DIGITIZED 24 9 1998
DIGITIZER HOWTEK 43.5
SEQUENCE
LEFT_CC LINES 5356 PIXELS_PER_LINE 2626 BITS_PER_PIXEL 12 RESOLUTION 43.5 OVERLAY
LEFT_MLO LINES 5491 PIXELS_PER_LINE 2776 BITS_PER_PIXEL 12 RESOLUTION 43.5 OVERLAY
RIGHT_CC LINES 5221 PIXELS_PER_LINE 2596 BITS_PER_PIXEL 12 RESOLUTION 43.5 NON_OVERLAY
RIGHT_MLO LINES 5491 PIXELS_PER_LINE 2851 BITS_PER_PIXEL 12 RESOLUTION 43.5 NON_OVERLAY

FILE: A_1449_1.LEFT_MLO.OVERLAY

TOTAL_ABNORMALITIES 1
ABNORMALITY 1 
LESION_TYPE CALCIFICATION TYPE AMORPHOUS DISTRIBUTION CLUSTERED
ASSESSMENT 4 
SUBTLETY 2 
PATHOLOGY BENIGN
TOTAL_OUTLINES 1 
BOUNDARY
FILE: A_1449_1.LEFT_CC.OVERLAY

TOTAL_ABNORMALITIES 1
ABNORMALITY 1 
LESION_TYPE CALCIFICATION TYPE AMORPHOUS DISTRIBUTION CLUSTERED
ASSESSMENT 4 
SUBTLETY 2 
PATHOLOGY BENIGN
TOTAL_OUTLINES 1 
BOUNDARY