Digital Database for Screening Mammography

Volume: benign_05 Case: A-1453-1


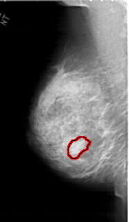
A_1453_1.LEFT_MLO

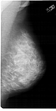
A_1453_1.RIGHT_MLO

A_1453_1.LEFT_CC

A_1453_1.RIGHT_CC

ics_version 1.0
filename A-1453-1
DATE_OF_STUDY 10 12 1996
PATIENT_AGE 31
FILM
FILM_TYPE REGULAR
DENSITY 3
DATE_DIGITIZED 8 10 1998
DIGITIZER HOWTEK 43.5
SEQUENCE
LEFT_CC LINES 6421 PIXELS_PER_LINE 3391 BITS_PER_PIXEL 12 RESOLUTION 43.5 OVERLAY
LEFT_MLO LINES 6076 PIXELS_PER_LINE 3526 BITS_PER_PIXEL 12 RESOLUTION 43.5 OVERLAY
RIGHT_CC LINES 5986 PIXELS_PER_LINE 3241 BITS_PER_PIXEL 12 RESOLUTION 43.5 NON_OVERLAY
RIGHT_MLO LINES 6871 PIXELS_PER_LINE 3496 BITS_PER_PIXEL 12 RESOLUTION 43.5 NON_OVERLAY

FILE: A_1453_1.LEFT_MLO.OVERLAY

TOTAL_ABNORMALITIES 1
ABNORMALITY 1 
LESION_TYPE MASS SHAPE LOBULATED MARGINS OBSCURED
ASSESSMENT 4 
SUBTLETY 2 
PATHOLOGY BENIGN
TOTAL_OUTLINES 1 
BOUNDARY
FILE: A_1453_1.LEFT_CC.OVERLAY

TOTAL_ABNORMALITIES 1
ABNORMALITY 1 
LESION_TYPE MASS SHAPE LOBULATED MARGINS OBSCURED
ASSESSMENT 4 
SUBTLETY 2 
PATHOLOGY BENIGN
TOTAL_OUTLINES 1 
BOUNDARY