Digital Database for Screening Mammography

Volume: benign_05 Case: A-1549-1


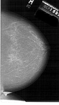
A_1549_1.LEFT_MLO

A_1549_1.RIGHT_MLO

A_1549_1.LEFT_CC

A_1549_1.RIGHT_CC

ics_version 1.0
filename A-1549-1
DATE_OF_STUDY 16 9 1993
PATIENT_AGE 71
FILM
FILM_TYPE REGULAR
DENSITY 2
DATE_DIGITIZED 8 10 1998
DIGITIZER HOWTEK 43.5
SEQUENCE
LEFT_CC LINES 6586 PIXELS_PER_LINE 3631 BITS_PER_PIXEL 12 RESOLUTION 43.5 OVERLAY
LEFT_MLO LINES 6646 PIXELS_PER_LINE 3631 BITS_PER_PIXEL 12 RESOLUTION 43.5 OVERLAY
RIGHT_CC LINES 6466 PIXELS_PER_LINE 3646 BITS_PER_PIXEL 12 RESOLUTION 43.5 NON_OVERLAY
RIGHT_MLO LINES 6331 PIXELS_PER_LINE 3736 BITS_PER_PIXEL 12 RESOLUTION 43.5 NON_OVERLAY

FILE: A_1549_1.LEFT_MLO.OVERLAY

TOTAL_ABNORMALITIES 1
ABNORMALITY 1 
LESION_TYPE MASS SHAPE OVAL MARGINS ILL_DEFINED
ASSESSMENT 4 
SUBTLETY 2 
PATHOLOGY BENIGN
TOTAL_OUTLINES 1 
BOUNDARY
FILE: A_1549_1.LEFT_CC.OVERLAY

TOTAL_ABNORMALITIES 1
ABNORMALITY 1 
LESION_TYPE MASS SHAPE OVAL MARGINS ILL_DEFINED
ASSESSMENT 4 
SUBTLETY 2 
PATHOLOGY BENIGN
TOTAL_OUTLINES 1 
BOUNDARY