Digital Database for Screening Mammography

Volume: benign_05 Case: A-1554-1


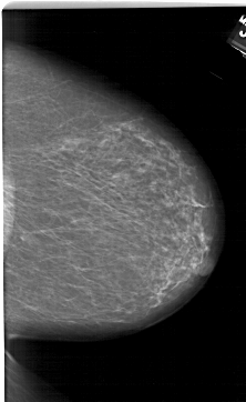
A_1554_1.LEFT_MLO

A_1554_1.RIGHT_MLO

A_1554_1.LEFT_CC

A_1554_1.RIGHT_CC

ics_version 1.0
filename A-1554-1
DATE_OF_STUDY 27 6 1995
PATIENT_AGE 54
FILM
FILM_TYPE REGULAR
DENSITY 3
DATE_DIGITIZED 16 7 1998
DIGITIZER HOWTEK 43.5
SEQUENCE
LEFT_CC LINES 5866 PIXELS_PER_LINE 4816 BITS_PER_PIXEL 12 RESOLUTION 43.5 OVERLAY
LEFT_MLO LINES 6226 PIXELS_PER_LINE 5146 BITS_PER_PIXEL 12 RESOLUTION 43.5 OVERLAY
RIGHT_CC LINES 6511 PIXELS_PER_LINE 3991 BITS_PER_PIXEL 12 RESOLUTION 43.5 NON_OVERLAY
RIGHT_MLO LINES 6451 PIXELS_PER_LINE 4456 BITS_PER_PIXEL 12 RESOLUTION 43.5 NON_OVERLAY

FILE: A_1554_1.LEFT_MLO.OVERLAY

TOTAL_ABNORMALITIES 1
ABNORMALITY 1 
LESION_TYPE MASS SHAPE OVAL MARGINS OBSCURED
ASSESSMENT 4 
SUBTLETY 4 
PATHOLOGY BENIGN
TOTAL_OUTLINES 1 
BOUNDARY
FILE: A_1554_1.LEFT_CC.OVERLAY

TOTAL_ABNORMALITIES 1
ABNORMALITY 1 
LESION_TYPE MASS SHAPE OVAL MARGINS OBSCURED
ASSESSMENT 4 
SUBTLETY 4 
PATHOLOGY BENIGN
TOTAL_OUTLINES 1 
BOUNDARY