Digital Database for Screening Mammography

Volume: benign_06 Case: C-0363-1


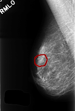
C_0363_1.RIGHT_MLO

C_0363_1.LEFT_MLO

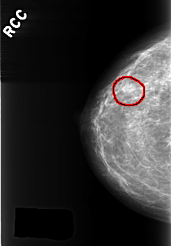
C_0363_1.RIGHT_CC

C_0363_1.LEFT_CC

ics_version 1.0
filename C-0363-1
DATE_OF_STUDY 25 11 1996
PATIENT_AGE 44
FILM
FILM_TYPE REGULAR
DENSITY 2
DATE_DIGITIZED 12 10 1998
DIGITIZER LUMISYS LASER
SEQUENCE
LEFT_CC LINES 4344 PIXELS_PER_LINE 2856 BITS_PER_PIXEL 12 RESOLUTION 50 NON_OVERLAY
LEFT_MLO LINES 4288 PIXELS_PER_LINE 2920 BITS_PER_PIXEL 12 RESOLUTION 50 NON_OVERLAY
RIGHT_CC LINES 4216 PIXELS_PER_LINE 2936 BITS_PER_PIXEL 12 RESOLUTION 50 OVERLAY
RIGHT_MLO LINES 4288 PIXELS_PER_LINE 2912 BITS_PER_PIXEL 12 RESOLUTION 50 OVERLAY

FILE: C_0363_1.RIGHT_MLO.OVERLAY

TOTAL_ABNORMALITIES 1
ABNORMALITY 1
LESION_TYPE MASS SHAPE OVAL MARGINS CIRCUMSCRIBED
ASSESSMENT 3
SUBTLETY 4
PATHOLOGY BENIGN
TOTAL_OUTLINES 1 
BOUNDARY
FILE: C_0363_1.RIGHT_CC.OVERLAY

TOTAL_ABNORMALITIES 1
ABNORMALITY 1
LESION_TYPE MASS SHAPE OVAL MARGINS CIRCUMSCRIBED
ASSESSMENT 3
SUBTLETY 4
PATHOLOGY BENIGN
TOTAL_OUTLINES 1 
BOUNDARY