Digital Database for Screening Mammography

Volume: benign_06 Case: C-0370-1


C_0370_1.RIGHT_MLO

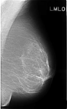
C_0370_1.LEFT_MLO

C_0370_1.RIGHT_CC

C_0370_1.LEFT_CC

ics_version 1.0
filename C-0370-1
DATE_OF_STUDY 6 2 1996
PATIENT_AGE 54
FILM
FILM_TYPE REGULAR
DENSITY 1
DATE_DIGITIZED 3 11 1998
DIGITIZER LUMISYS LASER
SEQUENCE
LEFT_CC LINES 4568 PIXELS_PER_LINE 2840 BITS_PER_PIXEL 12 RESOLUTION 50 NON_OVERLAY
LEFT_MLO LINES 4592 PIXELS_PER_LINE 2848 BITS_PER_PIXEL 12 RESOLUTION 50 NON_OVERLAY
RIGHT_CC LINES 4536 PIXELS_PER_LINE 2840 BITS_PER_PIXEL 12 RESOLUTION 50 OVERLAY
RIGHT_MLO LINES 4712 PIXELS_PER_LINE 2968 BITS_PER_PIXEL 12 RESOLUTION 50 OVERLAY

FILE: C_0370_1.RIGHT_MLO.OVERLAY

TOTAL_ABNORMALITIES 1
ABNORMALITY 1
LESION_TYPE MASS SHAPE LOBULATED MARGINS CIRCUMSCRIBED
ASSESSMENT 3
SUBTLETY 4
PATHOLOGY BENIGN
TOTAL_OUTLINES 1 
BOUNDARY
FILE: C_0370_1.RIGHT_CC.OVERLAY

TOTAL_ABNORMALITIES 1
ABNORMALITY 1
LESION_TYPE MASS SHAPE LOBULATED MARGINS CIRCUMSCRIBED
ASSESSMENT 3
SUBTLETY 5
PATHOLOGY BENIGN
TOTAL_OUTLINES 1 
BOUNDARY