Digital Database for Screening Mammography

Volume: benign_06 Case: C-0371-1


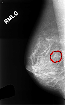
C_0371_1.RIGHT_MLO

C_0371_1.LEFT_MLO

C_0371_1.RIGHT_CC

C_0371_1.LEFT_CC

ics_version 1.0
filename C-0371-1
DATE_OF_STUDY 6 2 1996
PATIENT_AGE 53
FILM
FILM_TYPE REGULAR
DENSITY 2
DATE_DIGITIZED 3 11 1998
DIGITIZER LUMISYS LASER
SEQUENCE
LEFT_CC LINES 4472 PIXELS_PER_LINE 2880 BITS_PER_PIXEL 12 RESOLUTION 50 NON_OVERLAY
LEFT_MLO LINES 4456 PIXELS_PER_LINE 2912 BITS_PER_PIXEL 12 RESOLUTION 50 NON_OVERLAY
RIGHT_CC LINES 4544 PIXELS_PER_LINE 2904 BITS_PER_PIXEL 12 RESOLUTION 50 OVERLAY
RIGHT_MLO LINES 4552 PIXELS_PER_LINE 2840 BITS_PER_PIXEL 12 RESOLUTION 50 OVERLAY

FILE: C_0371_1.RIGHT_MLO.OVERLAY

TOTAL_ABNORMALITIES 1
ABNORMALITY 1
LESION_TYPE MASS SHAPE LOBULATED MARGINS CIRCUMSCRIBED
ASSESSMENT 4
SUBTLETY 4
PATHOLOGY BENIGN
TOTAL_OUTLINES 1 
BOUNDARY
FILE: C_0371_1.RIGHT_CC.OVERLAY

TOTAL_ABNORMALITIES 1
ABNORMALITY 1
LESION_TYPE MASS SHAPE ROUND MARGINS CIRCUMSCRIBED
ASSESSMENT 4
SUBTLETY 5
PATHOLOGY BENIGN
TOTAL_OUTLINES 1 
BOUNDARY